【下歯槽神経に近接した深部埋伏親知らず】左右4本すべて完全埋伏|CT精査の重要性と麻痺リスクを最小限にする抜歯戦略
こんにちは。東京都中央区銀座5丁目にある
【親知らず・顎関節症クリニック銀座(通称:オヤアゴクリニック)】です。
当院は以下の3つに特化した歯科クリニックです。
* 親知らずの抜歯
* 顎関節症の治療
* アスリートのための歯科治療
今回ご紹介するのは、他院からのご紹介で来院された症例です。
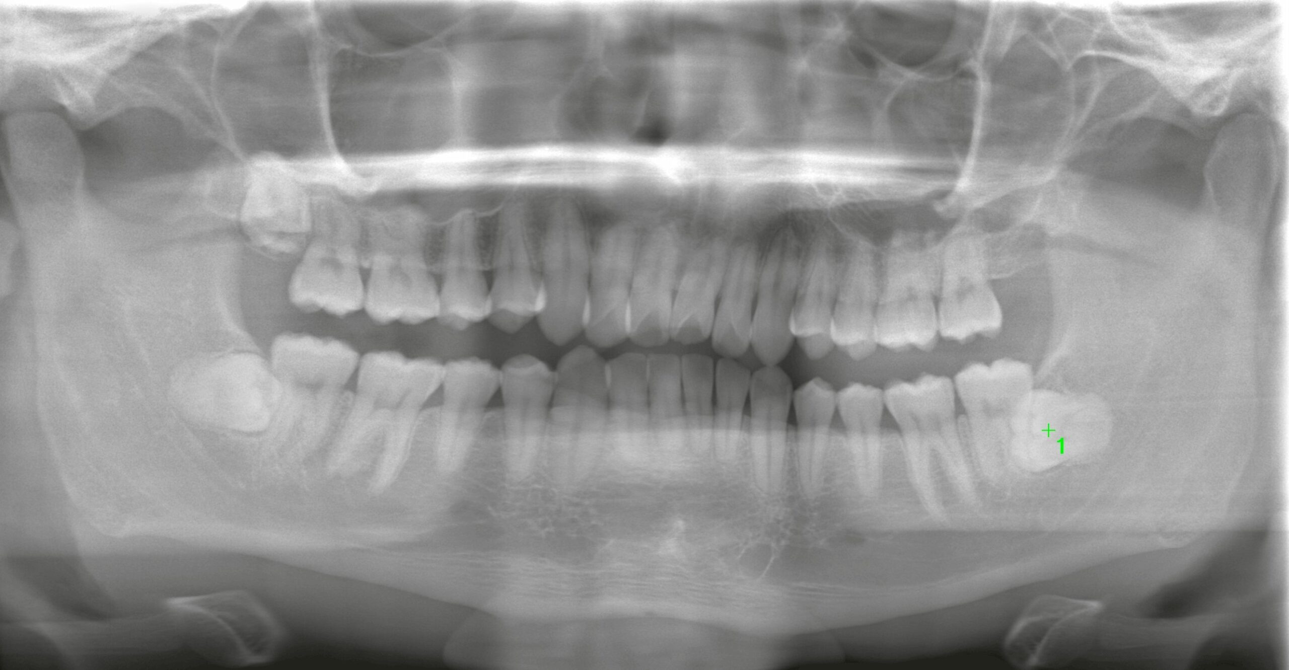
左右上下すべての親知らずが完全埋伏しているケースでした。
特に問題となったのは下顎です。
パノラマX線写真では、歯根が深い位置に存在し、下歯槽神経に近接していることが示唆されました。

そこでCT撮影を実施。
CT精査の結果、
・歯冠及び歯根は完全に骨内に埋伏
・根尖部は下歯槽神経管に極めて近接
・歯根は長く、やや肥大傾向
・隣在歯の歯根とも近接
という、複数の難易度因子を併せ持つ状態でした。
確かに一般歯科では敬遠する内容ですね。
下歯槽神経に近接する親知らずで注意すべき点
最も重要なのは術後の下歯槽神経麻痺リスクです。
物理的に歯根が神経に接している、あるいは極めて近接している場合、
・器具操作による直接的な刺激
・骨削除時の振動(骨伝導)
・炎症や浮腫による圧迫
などにより、一時的またはまれに永続的な知覚麻痺が起こる可能性があります。
神経に接していない場合でも、距離が非常に近いだけでリスクはゼロではありません。
麻痺リスクを最小限にするための戦略
神経麻痺の多くは、過度なアプローチ(オーバートリートメント)が原因とされることがあります。
したがって重要なのは:
・事前CTによる三次元的評価
・骨削除量を最小限に設計
・歯牙分割の適切な判断
・無理な挺出を避ける操作
「見えていない状態で無理に動かさない」
これが基本原則です。
術前分析が甘いと、術中に迷いが生じ、結果として侵襲が大きくなります。
逆に、十分な設計ができていれば、必要最小限の侵襲で終えることが可能です。
上顎完全埋伏歯のリスク
上顎も完全埋伏でした。
上顎は下顎に比べ骨が海綿骨主体で動かしやすい反面、
・視野が取りにくい
・上顎洞に近接している
・押し込む方向に力が加わりやすい
という特有のリスクがあります。
盲目的な操作は危険で、
上顎洞内への迷入は文献上も報告されています。
そのため、
・十分なフラップ形成
・視野確保
・押し込まない方向への力のコントロール
が重要になります。
抜歯順序と実際の所見
今回は
左下 → 右上下
の順で実施しました。
・歯根は長く太い
・深部埋伏
・下歯槽神経に近接
・隣在歯にも近接
いくつもの難易度要素が重なる、非常に複雑なケースでした。
それでも、事前分析と戦略設計により、必要最小限の侵襲で安全に終了しています。
最後に
「深く埋まっているから危険」なのではありません。
「分析せずに抜くこと」が危険なのです。
CTでの三次元評価、
神経との距離測定、
術式の設計。
これらを怠らなければ、難症例でも安全性は高められます。
患者さんも非常に頑張ってくださいました。
術後管理も含め、最後までしっかりフォローしていきます。
親知らずでお悩みの方は、
一度CT評価を含めた精査をおすすめします。
オヤアゴ院長ブログ
→https://ameblo.jp/kojima-dental
ご相談・ご予約は公式HPからどうぞ
親知らず・顎関節症クリニック銀座 公式サイト
→https://ginza-oralsurgery.com/
無料LINE相談も実施中(予約対応もできます)
→https://lin.ee/Bz8QkWi
監修歯科医師
医療法人社団GRIT 理事長
親知らず・顎関節症クリニック銀座 院長
小嶋 隆三Ryuzo KOJIMA
- 〔院長略歴〕
- 鶴見大学歯学部卒 総合歯科
医療法人 麗歯会 加藤歯科医院 勤務
医療法人 UG会 多田歯科医院 勤務
医療法人 清明会 静岡リハビリテーション病院 非常勤 勤務
2013年 小嶋デンタルクリニック開設
2023年 医療法人社団GRIT 設立
2023年 コロンビア大学歯学部歯周病学分野所長兼准教授(1987-2015)、台北医科大学教授、学部長(2017-2023)ピーター・ワン先生の講座へ入局
2024年には、グローバルインプラントブランド「DIOインプラント」において、日本一の年間実績(症例数)を達成。
難症例や骨造成を伴うケースにも精通し、確かな診断力と精緻な技術で遠方からの患者も多く、信頼を集めている。
- 〔所属学会・所属団体〕
- 歯科医師臨床研修指導医
公益社団法人日本歯科先端技術研究所 インプラント認証医
BPS(精密義歯)クリニカル国際認定医
公益社団法人日本口腔インプラント学会
ISOI(国際口腔インプラント学会) インプラント認定医
日本顎咬合学会
日本スポーツ歯科学会
日本抗加齢医学会
日本歯科医師会

