Wisdom teeth親知らずの抜歯について

トラブルを未然に防ぐために、早めのご相談をおすすめします


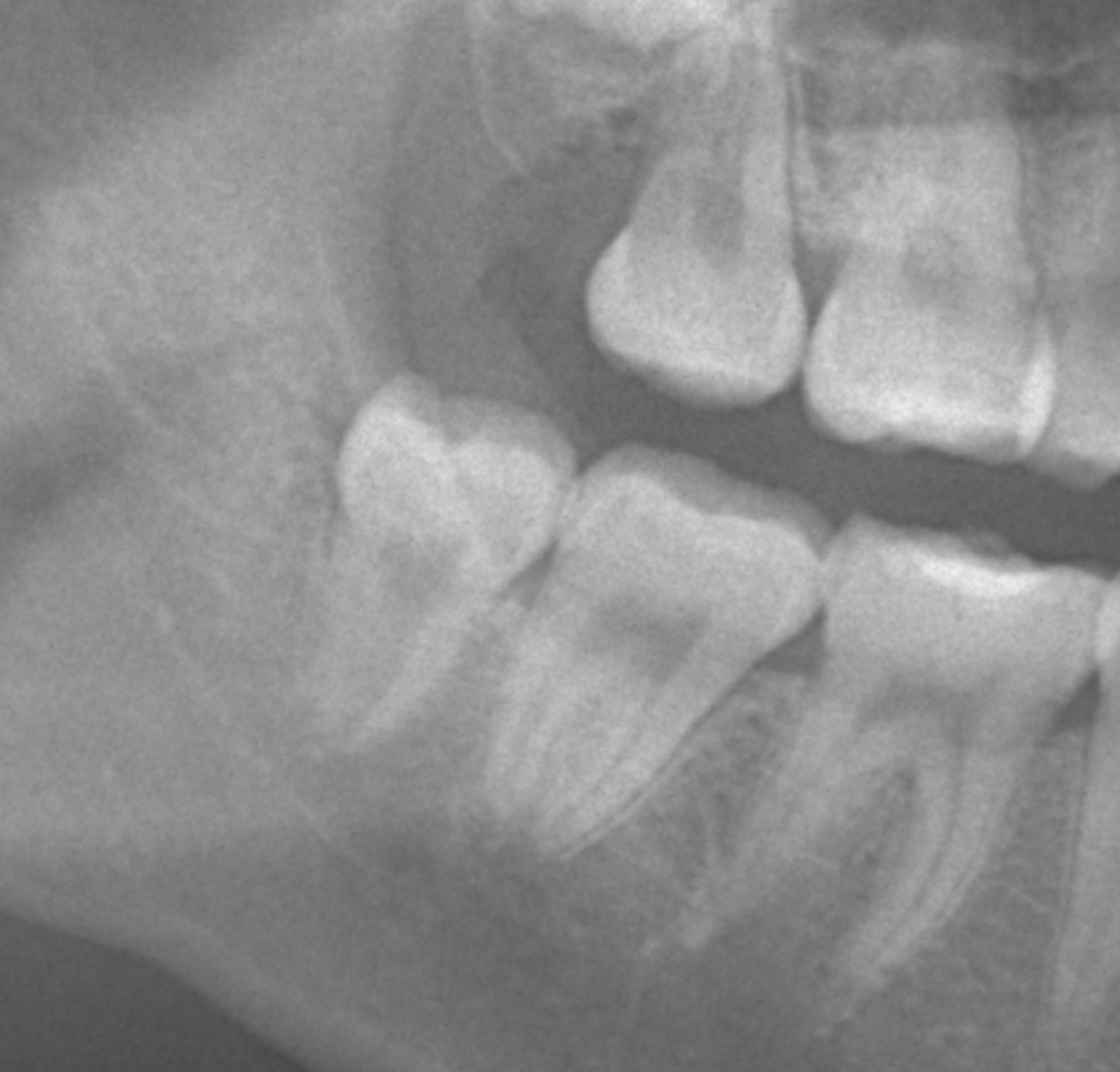
親知らずは、生え方や位置によっては口腔内のトラブルを引き起こす原因になります。
例えば、むし歯や歯周病、隣接する歯の圧迫、歯並びの乱れ、口臭の原因など、放置することでさまざまなリスクが高まります。
まっすぐ生えている場合は簡単な抜歯で済みますが、横向きや骨の中に埋まっている「埋伏歯」の場合は外科的処置が必要となります。

?以下のような症状がある方はご相談ください

親知らずが痛い
食べ物が詰まりやすい
口臭が気になる
隣の歯が痛い
他院で断られてしまった

    親知らず・顎関節症クリニック銀座の親知らず治療の特徴

  • Features-1難症例にも対応する高度な専門技術

    親知らずの抜歯は、痛みや腫れ、神経損傷などリスクを伴う処置です。
    当院では、日本口腔外科学会認定の口腔外科専門医が在籍しております。大学病院レベルの症例にも多数対応してきた経験と技術があります。
    他院で「大学病院での入院が必要」と言われたケースや、複数本の同時抜歯も対応可能です。安心してご相談ください。

  • Features-2麻酔・鎮静による「怖くない抜歯」

    局所麻酔だけでなく、緊張や不安が強い方には静脈内鎮静法を選択いただけます。
    ウトウトと眠っている間に手術が終わるため、痛みや恐怖をほとんど感じることなく処置が可能です。

  • Features-3埋伏歯にも対応

    骨や歯ぐきの中に埋まっている「埋伏歯」は、腫れ・膿み・口臭の原因になることもあります。
    当院では歯科用CTによる精密検査を行い、リスクを最小限に抑えた計画的な抜歯を行います。

    親知らず抜歯の流れ

  • 1.ご予約

     お電話またはWEBよりご予約ください。土曜も診療しています。

    2.初診・カウンセリング

     問診票をご記入のうえ、全身疾患や服薬状況なども含めて丁寧にお話を伺います。
     ※お薬手帳をお持ちの方はご持参ください。

    3.検査・診察

     口腔内の確認とCT撮影などを行い、親知らずの状態を正確に診断します。
     ※炎症が強い場合など、抜歯は後日となることがあります。

    4.親知らずの抜歯

     局所麻酔または静脈内鎮静下で手術を行います。通常数分~30分程度が目安です。
     ※切開が必要な場合は縫合を行います。

    5.術後ケア・ご帰宅

     抗生剤・鎮痛剤を処方し、術後の注意事項をご説明のうえお帰りいただきます。

    6.経過観察(約1週間後)

     傷口の確認・抜糸を行います。経過が良好であれば、通院はこの時点で終了となります。

  • 親知らずの抜歯の難易度と下歯槽神経麻痺の分類について
    抜歯後の注意事項と過ごし方
    初診当日の抜歯(当日抜歯)をご希望の方へ

    費用の目安

  • ※保険診療(3割負担)・税込み
    ※静脈内鎮静をご希望の場合は、別途費用がかかります。

    抜歯後の注意点とリスク
    抜歯後3日ほどは腫れ・痛みが出ることがあります(約1週間で回復)
    出血や血の混じった唾液が見られることがあります
    傷が治りにくい「ドライソケット」になる可能性があります(1~2週間で治癒)


親知らずの抜⻭に「安⼼」と「快適性」という選択肢を


当院では保険診療でも専⾨的な親知らず抜⻭を⾏っており、症例によっては保険診療でも初診当⽇の抜⻭が可能です。

?その上で、⾃費診療では

術中の快適性
術後の回復設計
使⽤材料の選択肢
通院回数の軽減
時間価値(予約枠の確保)

といった「体験価値」を拡張したプランをご⽤意しています。
保険診療でも安全性を重視した抜⻭を⾏っておりますが、⾃費プランではさらに安⼼感や快適性を⾼める設計を⾏っています。

    プレミアム抜⻭

  • プレミアム抜歯とは

    検査から診査診断、当⽇抜⻭までを⼀体化した⾃費プランです。
    ※保険診療でも当⽇抜⻭が可能な場合があります。
    プレミアムでは、治癒環境を整える材料や縫合⽅法を選択でき、術後の回復設計までを含めた包括的なプランとなっています。
    ※症例や全⾝状態により当⽇抜⻭が適さない場合があります。

    プレミアム抜歯


含まれる内容

・初診料相当(⾃費)
・パノラマレントゲン
・CT撮影(適応がある場合)
・診査・診断
・抜⻭⼿術
・治癒補助材(例:テルプラグ等)
・抜⽷不要縫合(適応がある場合)
・術後フォロー
・投薬(抗⽣剤・鎮痛剤)
※診査の結果、当⽇抜⻭が適さないと判断した場合は別途治療計画をご提案いたします。


!このような⽅におすすめ

当⽇抜⻭を希望される⽅
通院回数を減らしたい⽅
術後の治癒環境を重視したい⽅
専⾨クリニックでの抜⻭を希望される⽅

    コンフォート抜⻭

  • コンフォート抜⻭とは

    静脈内鎮静⿇酔(IV)を併⽤し、恐怖⼼や緊張が強い⽅にも配慮した上位プランです。
    全⾝管理のもと、安全性に配慮しながら処置を⾏います。
    術中のストレス軽減と術後の回復導線までを設計しています。

    コンフォート抜歯


含まれる内容

・静脈内鎮静⿇酔(IV)
・⽣体モニタリング管理
・抜⻭⼿術
・治癒補助材
・抜⽷不要縫合(適応時)
・術後リカバリー時間
・術後フォロー
・投薬(抗⽣剤・鎮痛剤)


!このような⽅におすすめ

抜⻭に強い恐怖⼼がある⽅
嘔吐反射が強い⽅
複数本をまとめて抜⻭したい⽅
できるだけストレスを軽減したい⽅

保険診療との違い

項⽬ 保険診療 プレミアム コンフォート
費用 保険算定 55,000円〜/本 88,000円〜/本
検査 必要に応じ実施 含まれる 初回保険後実施
治癒補助材 制限あり 選択可能 選択可能
縫合 通常縫合 抜⽷不要選択可 抜⽷不要選択可
術中快適性 局所⿇酔 局所⿇酔 IV鎮静⿇酔+局所⿇酔
通院回数 症例による 軽減可能 軽減可能

※治癒速度には個⼈差があります。
※症例や難易度により通院回数は異なります。

注意事項

・症例や全⾝状態により適応は異なります
・当⽇抜⻭が適さない場合があります
・⾼度埋伏⻭など難症例では追加費⽤が発⽣することがあります
・腫れや痛みには個⼈差があります
・鎮静⿇酔実施は事前評価が必要です

    矯正治療に伴う便宜抜⻭について

  • 便宜抜⻭とは

    便宜抜⻭とは、矯正治療を⾏う際に⻭並びや咬み合わせを整える⽬的で⾏う抜⻭のことです。
    主に⼩⾅⻭が対象となります。
    矯正治療では⻭をきれいに並べるためのスペースが必要となる場合があり、その際に計画的に抜⻭を⾏います。
    当院では矯正⻭科からの紹介症例を多数扱っており、紹介医と連携しながら安全性に配慮して処置を⾏っています。

    便宜抜歯

処置の特徴

・⽐較的短時間で処置が終了することが多い
・神経損傷などのリスクが低い部位で⾏う処置
・術後の腫れや痛みが⽐較的軽度であることが多い
・矯正⻭科と連携した治療計画のもと実施

    親知らずの⻭胚抜⻭(15歳以下)

  • ⻭胚抜⻭とは

    ⻭胚抜⻭とは、親知らずの⻭がまだ完全に形成される前の段階で抜⻭を⾏う⽅法です。
    成⻑段階で処置を⾏うことで、
    ・将来的な埋伏や炎症の予防
    ・神経との距離が確保しやすい
    ・抜⻭難易度が低い場合が多い
    などのメリットが期待されることがあります。

    矯正治療を予定している場合や、将来的に問題が起こる可能性が⾼い場合に選択されることがあります。
    ※すべての症例に適応するわけではありません。

    歯胚抜歯

費⽤に含まれる内容

・診査
・レントゲン撮影
・抜⻭処置
・術後説明
・投薬(鎮痛剤など)
※CT撮影が必要と判断される場合は別途費⽤が発⽣することがあります。

静脈内鎮静⿇酔について

当院では静脈内鎮静⿇酔は成⼈を対象として実施しています。
そのため15歳以下の⻭胚抜⻭では鎮静⿇酔は併⽤しておりません。
局所⿇酔下で安全性に配慮して処置を⾏います。


!このような⽅におすすめ

将来的に親知らずが埋伏する可能性が⾼い⽅
矯正治療を予定している⽅
⻭根形成前の段階で抜⻭が可能な⽅

親知らず抜⻭との違い

項⽬ ⻭胚抜⻭ 親知らず抜⻭
年齢 主に15歳以下 成⼈
歯の状態 ⻭根未完成 ⻭根完成
難易度 ⽐較的低いことが多い 症例差が⼤きい
静脈内鎮静 対象外 対象可
注意事項

・症例や成⻑段階により適応は異なります
・⻭胚抜⻭が適さない場合もあります
・腫れや痛みには個⼈差があります
・CT検査が必要となる場合があります

抜歯の費用と処置の違い 
~ 保険と自費の比較 ~

患者様に合わせた処置をご提供するために、当院では「保険診療での抜歯」と「自費診療での抜歯」の両方を行っています。それぞれの違いを以下の通りご案内いたします。

項目 保険診療による抜歯 自費診療による抜歯
費用 一般的に数千円(1本) ※症例や部位により変動 プレミアム抜歯¥55000/本・コンフォート抜歯¥88000/本(鎮静込み)
使用材料 保険適用範囲内の汎用材料 ・治癒促進材(テルプラグ、CGFなど)
・吸収性縫合糸(抜糸 不要)
術後ケア 必要最低限の処置 再診料・投薬・消毒・抜糸・洗口液すべて込み
術中の快適性 局所麻酔のみ 希望に応じて静脈内鎮静麻酔(+¥22,000)を併用可能
治癒の早さ・快適性 一般的な経過 治癒促進材料の併用により腫れや痛みが軽減し、治りが早い傾向あり
通院回数 抜歯→消毒→抜糸の3回以上が基本 吸収性糸により通院回数を最小限に調整可能

自費抜歯を選択される方の特徴

多忙で再診の時間が限られている方
腫れ・痛みを最小限にしたい方
美容や快適性への配慮を重視される方
静脈内鎮静をご希望の方 ・遠方から来院される方や1日で治療を完結したい方

費用について

自費による抜歯料金(税込)
処置内容
処置内容
歯胚抜歯(萌出前の歯)
¥22,000/本
矯正歯科からの紹介による第一小臼歯抜歯
¥16,500/本
プレミアム抜⻭
¥55,000円/本
コンフォート抜⻭
¥88,000円/本(鎮静込み)
⼩⾅⻭便宜抜⻭
¥12,000円〜16,500円/本
親知らず⻭胚抜⻭
¥22,000円/本
静脈内鎮静麻酔(希望制・完全予約)
¥22,000
料金に含まれる内容

・診断後の投薬代
・術後の消毒処置
・抜糸(吸収糸・非吸収糸どちらも)
・術後の再診料
・口腔清潔のための含嗽剤 すべて含まれた安心のトータル料金です。

レントゲン撮影について

・追加で必要な場合は、レントゲン撮影費用として別途 ¥5,500(税込) を頂戴します。

保険診療との違いについて

・術前の診査・レントゲン撮影を保険で行い、後日自費にて抜歯を行うことも可能です。
・混合診療とならないよう、日程・内容について丁寧にご説明いたします。

よくあるケース別の費用目安

ケース①:下顎の水平埋伏智歯(難抜歯)

区分 保険診療による抜歯 自費診療による抜歯
処置内容 ・局所麻酔
・骨削除ありの外科的抜歯
・縫合(非吸収糸)
・術後投薬・再診・抜糸含む
・抜歯(難抜歯レベル)
・テルプラグやCGFによる治癒促進処置
・吸収性縫合糸
・再診・投薬含む
おおよその費用 ¥5,000~10,000(3割負担の場合) プレミアム抜歯¥55,000/本、コンフォート抜歯¥88,000/本(鎮静込み)
特徴 保険内の基本的な処置。術後の腫れ・痛みが強めに出ることも。 治癒を早めたい、再診回数を減らしたい方におすすめ。快適性重視。
ケース②:通常の親知らず抜歯(真っ直ぐ生えている場合)

区分 保険診療による抜歯 自費診療による抜歯
処置内容 ・局所麻酔下で抜歯
・術後の投薬・再診・抜糸含む
・抜歯(単純抜歯レベル)
・吸収性縫合糸や内服セット
・再診料・投薬費含む
おおよその費用 ¥2,000~4,000(3割負担の場合) プレミアム抜歯¥55,000/本、コンフォート抜歯¥88,000/本(鎮静込み)
特徴 一般的な抜歯処置。通常1週間以内に抜糸あり。 通院回数を減らしたい、快適な術後を希望される方に。

※保険診療は厚生労働省の規定に基づき一律の範囲で行われます。
※自費診 療は患者様のご希望に応じて、治癒促進処置や快適性を考慮した対応が可能です。
※当院では、事前に十分なご説明を行い、ご納得いただいたうえで 診療を行っております。

親知らずの抜歯の難易度と下歯槽神経麻痺の分類について

他院からのご紹介も歓迎しています

かかりつけ医のご紹介を受けての抜歯にも対応しています。
術後の経過が落ち着いた段階で、元の歯科医院様でのメンテナンスへスムーズに引き継ぎます。