上顎洞に近い上の親知らず抜歯|「穴が空く?」口腔上顎洞交通のリスクと術後注意
目次
こんにちは。東京都中央区銀座5丁目にある
【親知らず・顎関節症クリニック銀座(通称:オヤアゴクリニック)】です。
当院は以下の3つに特化した歯科クリニックです。
* 親知らずの抜歯
* 顎関節症の治療
* アスリートのための歯科治療
今回は、矯正治療中の患者さまが、矯正歯科からの紹介で親知らずを4本抜歯のケースとなります。
矯正治療では、歯を動かすスペースや安定性の観点から、親知らずの抜歯が必要になることがあります。
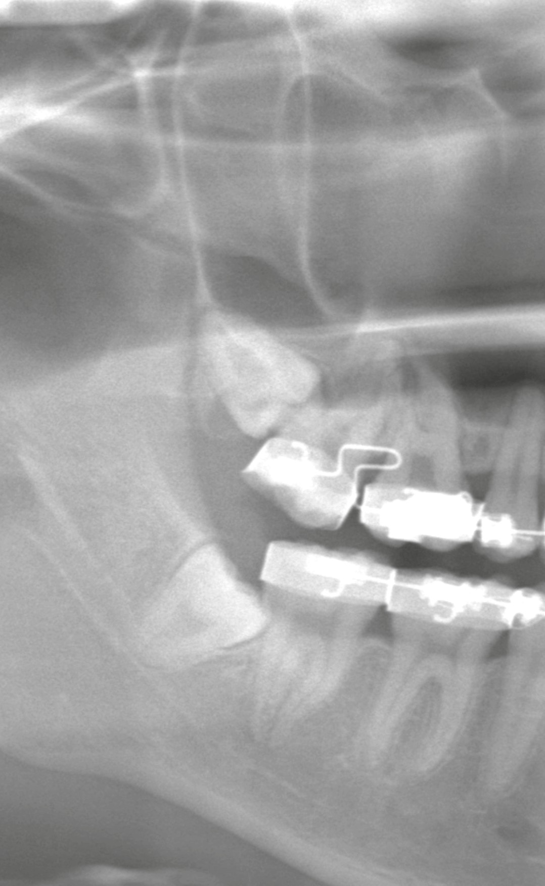
確認すると、上下左右に親知らずがあり、矯正の計画上「順番に抜歯してほしい」というご依頼でした。
今回はその中でも上顎の親知らずがポイント。
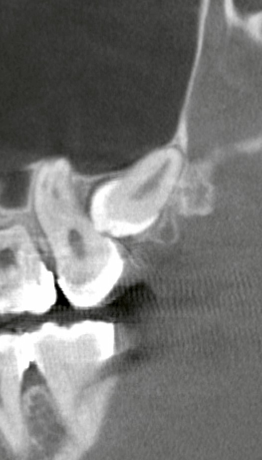
CTで見ると、親知らずの根の先が上顎洞にかなり近接していました。


上顎洞って何?(なぜ近いと慎重になるのか)
上顎洞は、頬の奥にある副鼻腔(ふくびくう)のひとつで、空洞になっています。歯でいうと、上の奥歯(第1・第2大臼歯)や親知らずの根が、上顎洞に非常に近い(時に接する)ことがあります。
このときに問題になるのが、抜歯後に起こりうる
「口腔上顎洞交通」
つまり、お口の中と上顎洞がつながってしまう状態です。これは抜歯後の合併症として一定数起こり得ます。
もし交通(穴)ができると何が困る?
交通ができると、理屈としては
口腔内の細菌が上顎洞側へ入りやすくなり、副鼻腔炎(上顎洞炎)のリスクが上がります。
そしてここが大事な点ですが、上顎洞の内側は「ただの空洞」ではなく、粘膜で覆われています。
その粘膜(いわゆるシュナイダー膜)は、線毛をもつ呼吸上皮で、粘液と線毛運動によって異物を運び出す防御機構を担っています。
つまり、ここに感染が起こると、粘膜の腫れや排出機能の低下が絡んで治りにくくなることがあり、予防と初期対応がとても重要になります。
今回の抜歯:難しいのは「近い」だけじゃない
上顎洞に近いだけなら、慎重に操作すれば問題なく終わることも多いです。
ただ、今回もう一つ条件がありました。
矯正治療中のため、大きく歯肉を切開し視野を確保することが難しい。
とはいえ、視野が不十分なまま盲目的に進めるのは避けなければいけません。
そこで今回は、
・最小限の切開で、見える範囲を最大化
・歯に無理な力をかけず、ゆっくり動かしてスペースを作る
・器具の方向と支点を丁寧に管理し、上顎洞側へ押し込まない
このあたりを徹底して抜歯を行いました。
上顎の抜歯は割とすぐ終わるのですが、今回のケースは完全埋伏しているケースであり、上顎洞に近接+矯正器具により視野確保困難などの要素が加わり、慎重に時間をかけながら実施しました。
抜歯後、上顎洞への交通が疑われたため「保護」を実施
抜歯後に確認すると、上顎洞側に数ミリ程度の交通が疑われる所見がありました。
大きな穴ではありませんが、細菌が入り込むには十分なサイズになり得ます。
そのため
・創部の保護(閉鎖・被覆の考え方)
・状況に応じた投薬(抗菌薬など)
・鼻を強くかまないなど、術後の行動制限の説明
をセットで行いました。
(交通がある場合、早期に適切な対応をすることが重要とされています。 )
術後の注意点(上顎洞が近い抜歯のときは特に大事)
今回もお伝えしたポイントです。
・鼻を強くかまない(圧で空気や液が通りやすくなるため)
・くしゃみは可能なら口を開けて(圧を逃がす)
・ストローで強く吸わない/強いうがいをしない
・鼻出血、頬の違和感、鼻に水が抜ける感じが続く場合は早めに連絡
経過:翌日・1週間後ともに良好
翌日は軽度の違和感程度で、全体として良好。
1週間後も、痛みは落ち着いており、副鼻腔炎を疑う症状も出ていません。
ただし、組織の治癒は「見た目」より時間がかかることもあるため、状況に応じてもう少しだけ予防的にフォローを継続する方針としました。
まとめ:上の親知らずは「簡単」と言い切れないことがある
一般に「上の親知らずは下より簡単」と言われることもあります。
しかし、上顎洞に近接しているケースは別です。
・交通(穴)のリスク
・感染(上顎洞炎)のリスク
・矯正中など条件が重なると難易度が上がる
こうした点を踏まえて、CTで正確に評価し、慎重に進めることが重要になります。
当院では、難症例も含めて、検査・診断を丁寧に行い、リスクを織り込んだ上で治療方針をご提案しています。
親知らず抜歯で不安がある方は、お気軽にご相談ください。
オヤアゴ院長ブログ
→https://ameblo.jp/kojima-dental
ご相談・ご予約は公式HPからどうぞ
親知らず・顎関節症クリニック銀座 公式サイト
→https://ginza-oralsurgery.com/
無料LINE相談も実施中(予約対応もできます)
→https://lin.ee/Bz8QkWi
監修歯科医師
医療法人社団GRIT 理事長
親知らず・顎関節症クリニック銀座 院長
小嶋 隆三Ryuzo KOJIMA
- 〔院長略歴〕
- 鶴見大学歯学部卒 総合歯科
医療法人 麗歯会 加藤歯科医院 勤務
医療法人 UG会 多田歯科医院 勤務
医療法人 清明会 静岡リハビリテーション病院 非常勤 勤務
2013年 小嶋デンタルクリニック開設
2023年 医療法人社団GRIT 設立
2023年 コロンビア大学歯学部歯周病学分野所長兼准教授(1987-2015)、台北医科大学教授、学部長(2017-2023)ピーター・ワン先生の講座へ入局
2024年には、グローバルインプラントブランド「DIOインプラント」において、日本一の年間実績(症例数)を達成。
難症例や骨造成を伴うケースにも精通し、確かな診断力と精緻な技術で遠方からの患者も多く、信頼を集めている。
- 〔所属学会・所属団体〕
- 歯科医師臨床研修指導医
公益社団法人日本歯科先端技術研究所 インプラント認証医
BPS(精密義歯)クリニカル国際認定医
公益社団法人日本口腔インプラント学会
ISOI(国際口腔インプラント学会) インプラント認定医
日本顎咬合学会
日本スポーツ歯科学会
日本抗加齢医学会
日本歯科医師会

