【完全埋伏×湾曲歯根】下歯槽神経・上顎洞に近接した親知らずを上下同時抜歯した症例
こんにちは。東京都中央区銀座5丁目にある
【親知らず・顎関節症クリニック銀座(通称:オヤアゴクリニック)】です。
当院は以下の3つに特化した歯科クリニックです。
* 親知らずの抜歯
* 顎関節症の治療
* アスリートのための歯科治療
本日は、左上下の埋伏親知らずの抜歯を希望され来院された症例をご紹介します。
「将来的なリスクを減らしたい」という明確な目的をお持ちの患者様でした。
パノラマ所見 ― 歯根形態が読みにくい
まずはパノラマレントゲンを撮影。

パノラマ画像では、
・下顎の歯根形態がやや不明瞭
・歯根が単純ではなさそうな印象
・上顎は埋伏傾向が強い
という所見でした。
しかし、2D画像では歯根の湾曲や神経との立体的位置関係は正確に把握できません。
そこでCT撮影を実施しました。



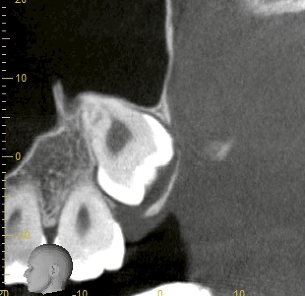
CTにて確認したところ、
・下顎:深い完全埋伏
・歯根は明らかに湾曲
・下歯槽神経に近接〜一部接触所見
・上顎:完全埋伏
・上顎洞に極めて近接
という状況でした。
いずれも「難易度が低い」とは言えないケースです。
抜歯の意思決定
抜歯には当然メリット・デメリットがあります。
メリット
・手前の歯の虫歯・歯周病リスクの軽減
・智歯周囲炎の予防
・矯正治療のスペース確保
・将来的な感染源の排除
デメリット
・神経麻痺リスク
・術後腫脹
・上顎洞との交通の可能性
・骨削合に伴う歯周環境への影響
これらを説明した上で、患者様は上下同時抜歯を希望されました。
完全埋伏・湾曲歯根をどう抜くか
完全埋伏歯の場合、歯の位置を正確に把握するために骨削合が必要になります。
ここで重要なのは「どれだけ削るか」。
・多く削れば視野は確保しやすい
・しかし削りすぎると術後ポケット形成や骨欠損のリスクが高まる
我々が常に立ち返るのは、
「何のための抜歯か?」
という問いです。
多くの場合、親知らず抜歯は予防的意味合いを持ちます。
手前の歯を守るため。矯正のため。将来の炎症を防ぐため。
であれば、
抜歯後に予防歯科の観点でマイナスを作ってはいけない。
今回の術式戦略
・必要最小限の骨削合
・歯冠・歯根を分割
・神経走行を意識した器具操作
・上顎は洞内迷入リスクを考慮し慎重に
「歯を中心に処理する」という意識で進めました。
骨ではなく、抜くべき歯にフォーカスする。
その結果、骨の温存を図りながら安全に抜歯を完遂しました。
まとめ
完全埋伏、湾曲歯根、神経・上顎洞近接。
条件が重なれば重なるほど、
必要なのは大胆さではなく設計力だと感じます。
親知らず抜歯は単なる除去ではありません。
未来の口腔環境をどう設計するかという選択ですので抜けば良しというわけではありません。
オヤアゴクリニックでは、
CTを用いた三次元的評価のもと、
「守るための抜歯」を常に意識しています。
抜歯をするか迷っている方へ。
怖さで判断するのではなく、
将来を見据えて一緒に考えましょう。
オヤアゴ院長ブログ
→https://ameblo.jp/kojima-dental
ご相談・ご予約は公式HPからどうぞ
親知らず・顎関節症クリニック銀座 公式サイト
→https://ginza-oralsurgery.com/
無料LINE相談も実施中(予約対応もできます)
→https://lin.ee/Bz8QkWi
監修歯科医師
医療法人社団GRIT 理事長
親知らず・顎関節症クリニック銀座 院長
小嶋 隆三Ryuzo KOJIMA
- 〔院長略歴〕
- 鶴見大学歯学部卒 総合歯科
医療法人 麗歯会 加藤歯科医院 勤務
医療法人 UG会 多田歯科医院 勤務
医療法人 清明会 静岡リハビリテーション病院 非常勤 勤務
2013年 小嶋デンタルクリニック開設
2023年 医療法人社団GRIT 設立
2023年 コロンビア大学歯学部歯周病学分野所長兼准教授(1987-2015)、台北医科大学教授、学部長(2017-2023)ピーター・ワン先生の講座へ入局
2024年には、グローバルインプラントブランド「DIOインプラント」において、日本一の年間実績(症例数)を達成。
難症例や骨造成を伴うケースにも精通し、確かな診断力と精緻な技術で遠方からの患者も多く、信頼を集めている。
- 〔所属学会・所属団体〕
- 歯科医師臨床研修指導医
公益社団法人日本歯科先端技術研究所 インプラント認証医
BPS(精密義歯)クリニカル国際認定医
公益社団法人日本口腔インプラント学会
ISOI(国際口腔インプラント学会) インプラント認定医
日本顎咬合学会
日本スポーツ歯科学会
日本抗加齢医学会
日本歯科医師会

