上顎埋伏歯の抜歯後に鼻血・腫れ・青あざが出る理由とは?女性に多い術後反応
こんにちは。東京都中央区銀座5丁目にある
【親知らず・顎関節症クリニック銀座(通称:オヤアゴクリニック)】です。
当院は以下の3つに特化した歯科クリニックです。
* 親知らずの抜歯
* 顎関節症の治療
* アスリートのための歯科治療

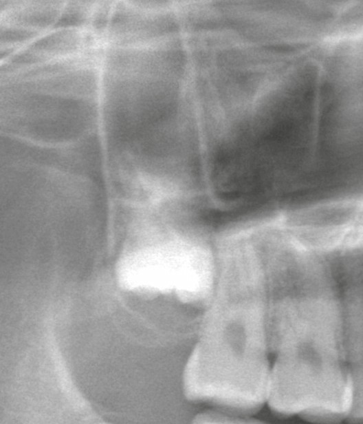
上顎の埋伏した歯の抜歯を行った患者さんから
「翌日に少し鼻血があった」との連絡がありました。
まずご安心ください。
今回の処置では上顎洞(副鼻腔)への穿孔は認めず、術後の軽度の鼻出血はよくある範囲です。
上顎の埋伏抜歯では、
・目の下までの腫れ
・青あざのような変色
・軽度の鼻血
がときどき見られることがあります。
今日はその理由と正しい対策をまとめます。
1|鼻のすぐ下にある上顎洞との距離が近いため
上顎の奥歯、とくに埋伏している歯は
上顎洞と非常に近い位置に存在します。
そのため、
* 骨を削る時の振動
* 上顎洞粘膜への軽微な刺激
* 血流の一時的な増加
これらが鼻腔側にも影響として出やすい構造になっています。
➡ 穿孔がなくても、翌日の軽い鼻血は珍しくありません。
2|女性に腫れ・青あざが出やすい理由
上顎の埋伏抜歯では、男性より女性のほうが
「腫れやすい」「目の下が黒くなる」傾向があります。
医学的には次の3つが主な理由です。
①皮膚が薄く、毛細血管が表層に近い
目の下(眼窩下部)は皮膚が薄く、
ごく小さな内出血でも 青あざとして見えやすい 部位です。
②女性ホルモンによる血管の反応性の高さ
毛細血管が繊細で、炎症が出ると見た目の変化が強く出やすい。
③冷えやすく血流が滞りやすい体質の方が多い
血流が滞ると、上顎洞周囲の微細な内出血が
重力でゆっくり目の下に落ちてくることがあり、
クマのように見えることもあります。
3|上顎の埋伏抜歯が“腫れやすい理由”
上顎の骨はスポンジのように柔らかく、
炎症が広がりやすい性質があります。
さらに、
* 上顎洞のすぐ下
* 血流の多い部位
* 顔の中心部でリンパが集まる場所
こうした条件が重なるため、
繊細な処置ほど術後反応が出やすい部位でもあります。
4|術後の対策──正しく冷やすことが最大のポイント
①冷やすのは効果的。でも、冷やしすぎは逆効果。
上顎の腫れを抑えるには適度な冷却が欠かせません。
しかし——
冷やしすぎは治癒の流れを乱すことがある。
理由は以下のとおり。
* 血流が落ちすぎて治りが遅れる
* 血餅が硬くしこり状に残り、かえって腫れが長引くことがある
特に女性は皮膚が薄く冷えやすいため、
長時間の当てっぱなしは避けてください。
▸ 正しい冷やし方の目安
「15分冷やす → 15分休む」を繰り返す。
保冷材はタオルで包み、皮膚の冷えすぎを防ぎます。
冷やすことは炎症を整える丁寧なリズム。
優しく、一定のテンポで繰り返すのが最も効果的です。
5|どんな鼻血なら心配ない?どんな鼻血は相談すべき?
✔ 心配ない鼻血
* 少量
* 数分で止まる
* ティッシュ1枚で済む
* 術後1日目の範囲
⚠ 相談してほしい鼻血
* 10分以上止まらない
* 明らかに量が多い
* 喉に流れてくる
* 発熱・痛みの増悪を伴う
今回の患者さんのケースは
典型的な問題ない方の鼻血に該当します。
まとめ
上顎の埋伏抜歯は、
鼻・上顎洞・目の下の血管やリンパが集まる繊細な領域。
そのため、
* 軽度の鼻血
* 目の下の腫れ・青あざ
* 数日の違和感
これらが出ることがありますが、
すべて理にかなった反応であり、適切にケアすれば必ず落ち着きます。
患者さんに不安が出やすい症状だからこそ、
事前の説明と術後フォローを丁寧に行っていきます。
オヤアゴ院長ブログ
→https://ameblo.jp/kojima-dental
ご相談・ご予約は公式HPからどうぞ
親知らず・顎関節症クリニック銀座 公式サイト
→https://ginza-oralsurgery.com/
無料LINE相談も実施中(予約対応もできます)
→https://lin.ee/Bz8QkWi
監修歯科医師
医療法人社団GRIT 理事長
親知らず・顎関節症クリニック銀座 院長
小嶋 隆三Ryuzo KOJIMA
- 〔院長略歴〕
- 鶴見大学歯学部卒 総合歯科
医療法人 麗歯会 加藤歯科医院 勤務
医療法人 UG会 多田歯科医院 勤務
医療法人 清明会 静岡リハビリテーション病院 非常勤 勤務
2013年 小嶋デンタルクリニック開設
2023年 医療法人社団GRIT 設立
2023年 コロンビア大学歯学部歯周病学分野所長兼准教授(1987-2015)、台北医科大学教授、学部長(2017-2023)ピーター・ワン先生の講座へ入局
2024年には、グローバルインプラントブランド「DIOインプラント」において、日本一の年間実績(症例数)を達成。
難症例や骨造成を伴うケースにも精通し、確かな診断力と精緻な技術で遠方からの患者も多く、信頼を集めている。
- 〔所属学会・所属団体〕
- 歯科医師臨床研修指導医
公益社団法人日本歯科先端技術研究所 インプラント認証医
BPS(精密義歯)クリニカル国際認定医
公益社団法人日本口腔インプラント学会
ISOI(国際口腔インプラント学会) インプラント認定医
日本顎咬合学会
日本スポーツ歯科学会
日本抗加齢医学会
日本歯科医師会

