
Blogブログ
親知らずを抜かないとどうなる?放置リスク5選
2025年9月9日
「親知らずは必ず抜かなくてはいけない」――そう思っている方は多いかもしれません。
しかし実際には、すべての親知らずが抜歯対象になるわけではありません。清掃状態が良好で、炎症や噛み合わせに問題がなければ、保存して将来的に移植歯として役立つこともあります。
ただし、親知らずが原因でトラブルを引き起こすケースも少なくありません。今回は「抜歯を検討すべき代表的なリスク5つ」をご紹介します。

1.急性化しやすい(智歯周囲炎)
親知らずの周囲には、歯肉が一部かぶさった「フード状の部分」ができることがあります。ここに細菌や食べかすがたまりやすく、免疫力が落ちたタイミングで急性炎症(智歯周囲炎)が起こります。
一度腫れてしまうと、強い痛み・開口障害・発熱を伴い、日常生活に支障が出ることも少なくありません。特に旅行や試験、イベント前に発症し、急患として来院される方も多く見られます。
このように「急に腫れて繰り返す」状態は、抜歯を検討する大きな理由の一つです。
2.慢性炎症による腫れや膿
急性症状が出ていなくても、親知らずの周囲で慢性的な炎症がくすぶっている場合があります。
症状が軽いため放置されがちですが、膿が少しずつたまり続けると骨や歯肉がじわじわと破壊され、結果的に広範囲な外科処置が必要になるケースも。
また慢性炎症は、口臭の原因になったり、全身の健康(糖尿病や心疾患)と関係することも報告されています。軽視できないサイレントリスクです。
3.隣の歯に悪影響を及ぼす
親知らずが斜めや水平に埋伏していると、その力が隣接する第二大臼歯に直接かかります。
その結果、隣の歯が虫歯になったり、歯根が吸収されてしまったりと、健康な歯を失うリスクにつながります。
特に奥歯は咀嚼の中心であり、1本でも失うと噛み合わせ全体に影響します。
「親知らずそのもの」よりも「隣の歯を守るために抜歯する」という判断は、臨床現場でもよくあるケースです。
4.噛み合わせの乱れ
親知らずが中途半端に生えている場合、対合する歯(上か下の親知らず)ときちんと噛み合わず、噛み合わせのアンバランスを生み出します。
放置すると、噛む力の分散が崩れ、顎関節に負担がかかることもあります。結果として顎関節症や肩こり、頭痛といった全身症状に波及するケースも。
また、親知らずが噛み合わないまま伸びてきて、他の歯列を押し出してしまうこともあります。これにより歯並びや咬合のバランスが崩れ、矯正治療のやり直しを余儀なくされることもあります。
5.虫歯・歯周病リスクの増加
親知らずは最奥に位置するため、歯ブラシが届きにくく、清掃不良が慢性的に起こります。
その結果、虫歯や歯周病が進行しやすい環境となります。特に隣接する大臼歯との間にできる虫歯は発見が遅れやすく、気づいたときには神経まで達していることも珍しくありません。
歯周病が進行すると、歯槽骨が吸収され、将来的にインプラント治療が困難になるリスクもあります。つまり「親知らず1本の問題」にとどまらず、口腔全体の健康を左右する要因となり得ます。
抜歯の「優先順位」を見極めることが大切
このようなリスクが明確にある場合は、親知らずを抜歯することが望ましいでしょう。
一方で、健全に埋伏している、炎症もない、噛み合わせに問題がない場合は、必ずしも抜歯が必要ではありません。将来の移植用歯として保存する価値があるケースもあります。
重要なのは、「抜くべき親知らず」と「残してもよい親知らず」を正しく見極めること。
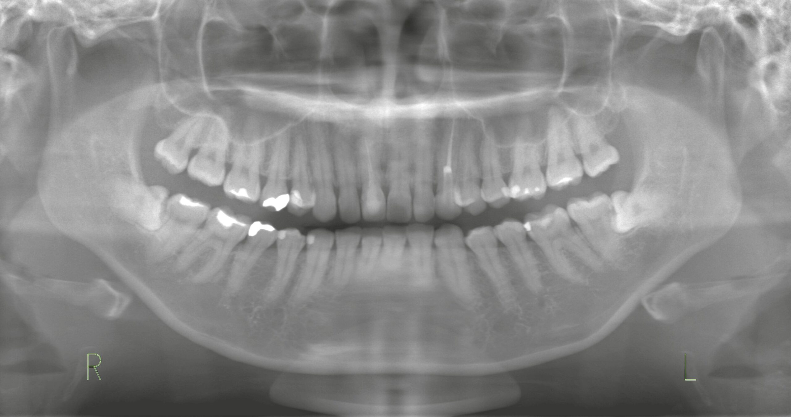
診断にはレントゲン・CTによる詳細な評価が不可欠であり、清掃状態や全体の咬合関係を含めて総合的に判断することが求められます。
まとめ
親知らずの抜歯は「一律で抜く」のではなく、リスクの有無や優先順位に基づいた判断が大切です。
抜歯が必要なケースを見極めることで、大切な歯を守り、将来的に有効に活用できる可能性も広がります。
「親知らずを抜くべきか迷っている」「繰り返し腫れて困っている」といった方は、ぜひ一度ご相談ください。
オヤアゴ院長ブログ
→ https://ameblo.jp/kojima-dental
ご相談・ご予約は公式HPからどうぞ
親知らず・顎関節症クリニック銀座 公式サイト
→ https://ginza-oralsurgery.com/
無料LINE相談も実施中
→ https://lin.ee/Bz8QkWi
監修歯科医師
-
医療法人社団GRIT 理事長
〔院長略歴〕
親知らず・顎関節症クリニック銀座 院長
小嶋 隆三Ryuzo KOJIMA
鶴見大学歯学部卒 総合歯科
医療法人 麗歯会 加藤歯科医院 勤務
医療法人 UG会 多田歯科医院 勤務
医療法人 清明会 静岡リハビリテーション病院 非常勤 勤務
2013年 小嶋デンタルクリニック開設
2023年 医療法人社団GRIT 設立
2023年 コロンビア大学歯学部歯周病学分野所長兼准教授(1987-2015)、台北医科大学教授、学部長(2017-2023)ピーター・ワン先生の講座へ入局
2024年には、グローバルインプラントブランド「DIOインプラント」において、日本一の年間実績(症例数)を達成。
難症例や骨造成を伴うケースにも精通し、確かな診断力と精緻な技術で遠方からの患者も多く、信頼を集めている。
〔所属学会・所属団体〕
歯科医師臨床研修指導医
公益社団法人日本歯科先端技術研究所 インプラント認証医
BPS(精密義歯)クリニカル国際認定医
公益社団法人日本口腔インプラント学会
ISOI(国際口腔インプラント学会) インプラント認定医
日本顎咬合学会
日本スポーツ歯科学会
日本抗加齢医学会
日本歯科医師会 
