左下親知らずの繰り返す腫れ ― 水平埋伏智歯の抜歯症例
こんにちは。東京都中央区銀座5丁目にある【親知らず・顎関節症クリニック銀座】です。
当院は以下の3つに特化した歯科クリニックです。
* 親知らずの抜歯
* 顎関節症の治療
* アスリートのための歯科治療
主訴と症状
患者様は「左下の親知らず周囲の歯肉が定期的に腫れる」とのことで来院されました。
腫れに伴って痛みも出現し、生活の質に影響を与えていました。

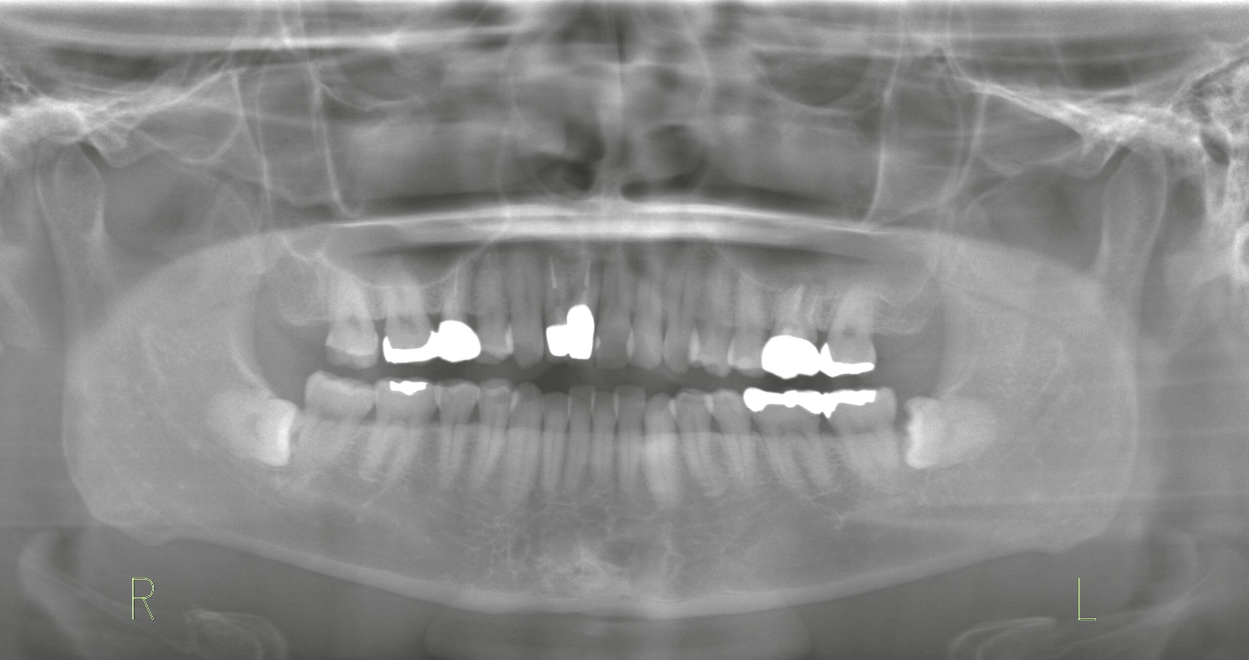
レントゲン所見(パノラマX線)
パノラマレントゲンでは、左右とも下顎の親知らず(智歯)が水平埋伏している状態が確認されました。
* 左下親知らず:第二大臼歯との間にわずかなスペースがあり、細菌が侵入しやすい環境。
* 右下親知らず:水平埋伏しているが、スペースがなく症状も認められない。
このように「親知らずが半分だけ生えている」「スペースがある」という状態は、清掃不良や細菌感染による腫れ(智歯周囲炎)を繰り返しやすくなります。
診断と治療方針
* 左下親知らず:繰り返し腫れ・炎症を起こしているため、抜歯が必要。
* 右下親知らず:無症状であるため、定期的な経過観察としました。
治療経過
左下親知らずの水平埋伏智歯抜歯を行いました。
抜歯はスムーズに完了し、術後の腫れや痛みも軽度で、順調に治癒しています。
今後の経過観察
右下親知らずは現時点で症状はないものの、水平埋伏智歯が隣の歯(第二大臼歯)を圧迫し虫歯や歯周病の原因になることがあります。
そのため、定期的なレントゲン撮影で経過を確認し、必要に応じて抜歯を検討します。
まとめ
* 親知らずが中途半端に生えている・スペースがあると細菌がたまりやすく、腫れや痛みを繰り返す。
* 今回のケースでは、左下の親知らずは抜歯、右下は経過観察と判断。
* 水平埋伏智歯は将来的に虫歯や歯周病リスクがあるため、早めの診断と治療方針の決定が重要。
オヤアゴ院長ブログ
→ https://ameblo.jp/kojima-dental
ご相談・ご予約は公式HPからどうぞ
親知らず・顎関節症クリニック銀座 公式サイト
→ https://ginza-oralsurgery.com/
無料LINE相談も実施中
→ https://lin.ee/Bz8QkWi
監修歯科医師
医療法人社団GRIT 理事長
親知らず・顎関節症クリニック銀座 院長
小嶋 隆三Ryuzo KOJIMA
- 〔院長略歴〕
- 鶴見大学歯学部卒 総合歯科
医療法人 麗歯会 加藤歯科医院 勤務
医療法人 UG会 多田歯科医院 勤務
医療法人 清明会 静岡リハビリテーション病院 非常勤 勤務
2013年 小嶋デンタルクリニック開設
2023年 医療法人社団GRIT 設立
2023年 コロンビア大学歯学部歯周病学分野所長兼准教授(1987-2015)、台北医科大学教授、学部長(2017-2023)ピーター・ワン先生の講座へ入局
2024年には、グローバルインプラントブランド「DIOインプラント」において、日本一の年間実績(症例数)を達成。
難症例や骨造成を伴うケースにも精通し、確かな診断力と精緻な技術で遠方からの患者も多く、信頼を集めている。
- 〔所属学会・所属団体〕
- 歯科医師臨床研修指導医
公益社団法人日本歯科先端技術研究所 インプラント認証医
BPS(精密義歯)クリニカル国際認定医
公益社団法人日本口腔インプラント学会
ISOI(国際口腔インプラント学会) インプラント認定医
日本顎咬合学会
日本スポーツ歯科学会
日本抗加齢医学会
日本歯科医師会

