抜歯即時インプラントでダウンタイムを最小限に ― アスリート症例
こんにちは。東京都中央区銀座5丁目にある【親知らず・顎関節症クリニック銀座】です。
当院は以下の3つに特化した歯科クリニックです。
* 親知らずの抜歯
* 顎関節症の治療
* アスリートのための歯科治療

今回のケース
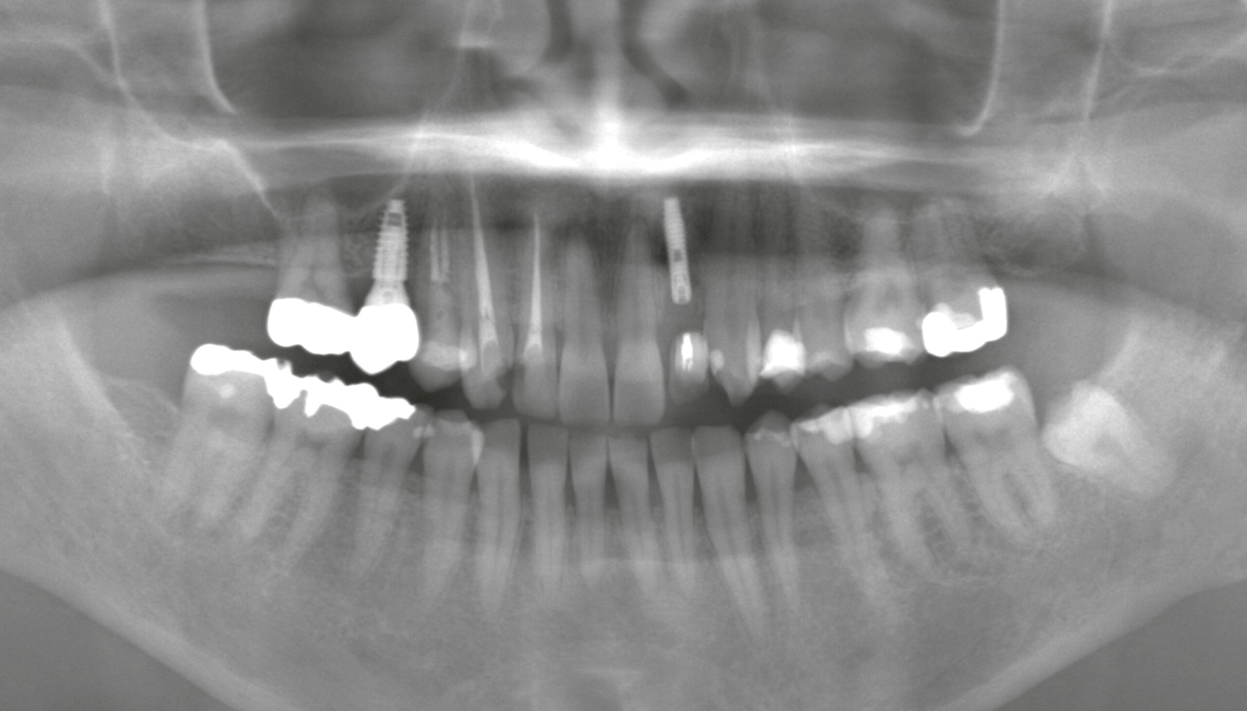
患者様は前歯の破折で来院されました。
前歯は見た目や発音に大きく関わるため、欠損している期間があると日常生活や競技生活に大きな影響を与えます。
さらに患者様は現役アスリートであり、「歯がない時期を絶対に作りたくない」「ダウンタイムを最小限にしたい」という希望がありました。
抜歯即時インプラントという選択肢
通常のインプラント治療では、抜歯後に数か月の治癒期間を経てから埋入を行います。
しかし今回のように審美性や即時性が求められるケースでは、**抜歯と同時にインプラントを埋入する『抜歯即時インプラント』**が有効です。
さらに今回は、抜去した歯をトリミングして仮歯として即時に装着する方法を選択しました。
これにより「見た目」「噛む機能」をその日のうちに回復できます。
手術の流れと術後経過
* 破折した前歯を抜歯
* 抜歯窩へ即時にインプラント埋入
* 抜去歯を加工し仮歯として装着
治療は短時間で終了し、術後の腫脹や疼痛も最小限でした。
患者様は翌日からも通常通りの生活を送ることができ、競技への影響もなく経過しています。

抜歯即時インプラントのメリット
* 歯がない時期をゼロにできる
* 治療期間の短縮
* 手術回数が少なく低侵襲
* 審美的に優れる(歯肉・骨の形態を保ちやすい)
特に前歯の治療では、審美性と即時性を両立できる点が大きなメリットです。
抜歯即時インプラントの考え方
ただし、抜歯即時インプラントはすべてのケースに適応できるわけではありません。
* 骨の量が不足している場合
* 感染のある抜歯
* 神経や隣接歯根に近い場合
このようなケースでは通常のフラップ手術や骨造成が必要となります。
そのため、CTによる精密診断と適切な症例選択が非常に重要です。
費用について
当院では以下の費用がかかります。(税込)
* 検査・診断料 :22000円
* 抜歯料 :1500円
* インプラント埋入料:220000円(今回の場合)
詳細はカウンセリング時にご説明いたします。
まとめ
* 前歯破折に対して、抜歯即時インプラントを実施
* 抜去歯を加工し、仮歯をその日のうちに装着
* 歯がない時期ゼロ・ダウンタイム最小限で治療を進行
* 特にアスリートや人前に立つ方に大きなメリット
親知らず・顎関節症クリニック銀座では、患者様のライフスタイルやご要望に合わせて、最適なインプラント治療をご提案しています。
オヤアゴ院長ブログ
→ https://ameblo.jp/kojima-dental
ご相談・ご予約は公式HPからどうぞ
親知らず・顎関節症クリニック銀座 公式サイト
→ https://ginza-oralsurgery.com/
無料LINE相談も実施中
→ https://lin.ee/Bz8QkWi
監修歯科医師
医療法人社団GRIT 理事長
親知らず・顎関節症クリニック銀座 院長
小嶋 隆三Ryuzo KOJIMA
- 〔院長略歴〕
- 鶴見大学歯学部卒 総合歯科
医療法人 麗歯会 加藤歯科医院 勤務
医療法人 UG会 多田歯科医院 勤務
医療法人 清明会 静岡リハビリテーション病院 非常勤 勤務
2013年 小嶋デンタルクリニック開設
2023年 医療法人社団GRIT 設立
2023年 コロンビア大学歯学部歯周病学分野所長兼准教授(1987-2015)、台北医科大学教授、学部長(2017-2023)ピーター・ワン先生の講座へ入局
2024年には、グローバルインプラントブランド「DIOインプラント」において、日本一の年間実績(症例数)を達成。
難症例や骨造成を伴うケースにも精通し、確かな診断力と精緻な技術で遠方からの患者も多く、信頼を集めている。
- 〔所属学会・所属団体〕
- 歯科医師臨床研修指導医
公益社団法人日本歯科先端技術研究所 インプラント認証医
BPS(精密義歯)クリニカル国際認定医
公益社団法人日本口腔インプラント学会
ISOI(国際口腔インプラント学会) インプラント認定医
日本顎咬合学会
日本スポーツ歯科学会
日本抗加齢医学会
日本歯科医師会

