早めの発見がカギ!第二大臼歯を守るための親知らず抜歯
こんにちは。東京都中央区銀座5丁目にある【親知らず・顎関節症クリニック銀座】です。
当院は、
* 親知らずの抜歯
* 顎関節症の治療
* アスリートのための歯科治療
に特化した歯科クリニックです。
主訴と経過
「左上の奥が時々痛む」とのことで来院された患者様。
痛みはある日とない日があり、虫歯のようなズキズキとした症状もありませんでした。
口腔内を拝見すると、虫歯や歯周病は見られず、一見問題がないように思われました。
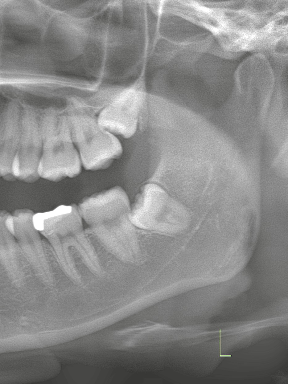
レントゲン所見
レントゲン検査で判明したのは、左上の親知らずが水平に萌出し、左上第二大臼歯に顕著に接触している状態。

このまま放置すると、第二大臼歯の歯根吸収や虫歯のリスクが高まります。
さらに下顎にも埋伏親知らずがあり、今後同様のトラブルにつながる可能性があるため、抜歯が妥当と判断しました。
治療と結果
左上の親知らずを抜歯。術後の経過は良好で、治癒後には第二大臼歯への痛みは完全に消失しました。
早期対応により、健康な奥歯を守ることができたケースです。
まとめ
親知らずは症状が出てからではなく、症状が軽いうち・もしくは無症状のうちに発見することが大切です。
特に水平埋伏歯は、隣接する歯にダメージを与える前に対応することで、既存の歯を長く健康に保つことができます。
「最近奥歯が時々うずく」「虫歯はないはずなのに痛む」という方は、ぜひ一度ご相談ください。
レントゲンでしか分からない問題が、あなたの奥歯を静かに脅かしているかもしれません。
オヤアゴ院長ブログでは、顎関節や親知らずに関する最新の話題を発信中
→ https://ameblo.jp/kojima-dental
ご相談・ご予約は公式HPからどうぞ
親知らず・顎関節症クリニック銀座 公式サイト
→ https://ginza-oralsurgery.com/
無料LINE相談も実施中
→ https://lin.ee/Bz8QkWi
監修歯科医師
医療法人社団GRIT 理事長
親知らず・顎関節症クリニック銀座 院長
小嶋 隆三Ryuzo KOJIMA
- 〔院長略歴〕
- 鶴見大学歯学部卒 総合歯科
医療法人 麗歯会 加藤歯科医院 勤務
医療法人 UG会 多田歯科医院 勤務
医療法人 清明会 静岡リハビリテーション病院 非常勤 勤務
2013年 小嶋デンタルクリニック開設
2023年 医療法人社団GRIT 設立
2023年 コロンビア大学歯学部歯周病学分野所長兼准教授(1987-2015)、台北医科大学教授、学部長(2017-2023)ピーター・ワン先生の講座へ入局
2024年には、グローバルインプラントブランド「DIOインプラント」において、日本一の年間実績(症例数)を達成。
難症例や骨造成を伴うケースにも精通し、確かな診断力と精緻な技術で遠方からの患者も多く、信頼を集めている。
- 〔所属学会・所属団体〕
- 歯科医師臨床研修指導医
公益社団法人日本歯科先端技術研究所 インプラント認証医
BPS(精密義歯)クリニカル国際認定医
公益社団法人日本口腔インプラント学会
ISOI(国際口腔インプラント学会) インプラント認定医
日本顎咬合学会
日本スポーツ歯科学会
日本抗加齢医学会
日本歯科医師会

