
根本原因からひも解く
親知らず・顎関節症の専門治療なら親知らず・顎関節症クリニック銀座
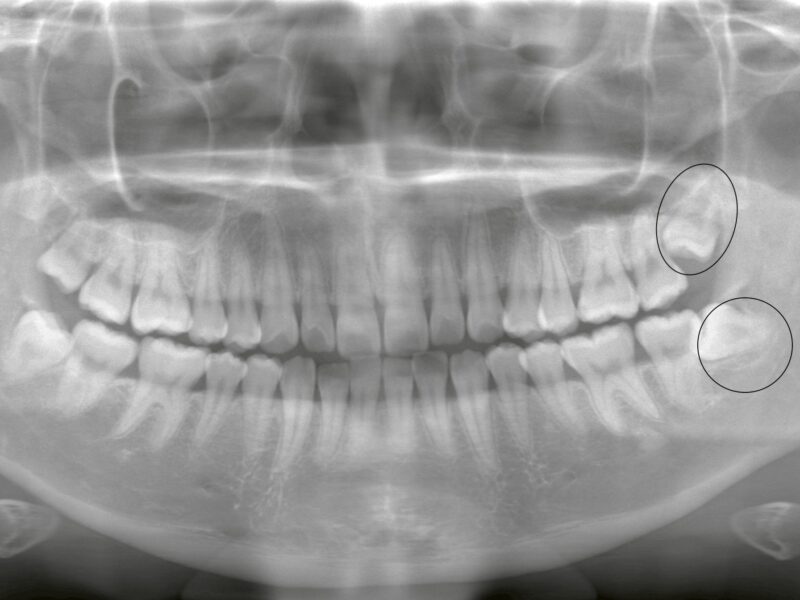
症例紹介
親知らずの抜歯や顎関節症の治療では、患者様の不安や症状にしっかり寄り添いながら、安心・安全な治療を提供しています。
「難しいと言われた親知らず」「顎の不調が治らない」などのお悩みは、ぜひ一度、当院へご相談ください。
NEWS新着情報
- 2026.1.21
-
保険診療での親知らず抜歯と治癒促進剤(例:テルプラグ)について
近年、他院において保険診療での親知らず抜歯後に、テルプラグ等の治癒促進剤を自費で追加しているという例が見受けられます。
しかし、保険診療と自費治療を同一処置内で併用すること(混合診療)は保険ルール上認められておらず、原則として行うことができません。
したがって、テルプラグ等の治癒促進剤を使用する場合には、治療全体を自費診療として選択いただく必要があります。
当院では、保険診療内の親知らず抜歯においても、保険適用内で使用が許可されている止血剤等を必要に応じて使用し、術後の止血・治癒に最大限配慮した処置を行っております。
制度ルールを遵守し、患者さまの安心と治療効果を両立する形で診療をご提供しています。
(詳しくは診療時にスタッフまでお尋ねください。) - 2026.1.13
-
ご案内
抜歯後の注意事項と過ごし方・初診当日の抜歯(当日抜歯)をご希望の方向けページの公開をしました。
抜歯後の注意事項と過ごし方
初診当日の抜歯(当日抜歯)をご希望の方へ
- 2025.10.31
-
10/31-11/6 院長の小嶋は海外での研修のため不在となります。
口腔外科専門医の伊澤先生の対応となります。
- 2025.10.31
-
【お知らせ】抜歯後の通院について
当院では、遠方からご来院の方も多いため、抜歯翌日の消毒来院は原則行っておりません。
抜歯時に必要な処置(止血・洗浄・縫合など)を丁寧に行っているため、翌日の消毒は原則不要としています。
縫合を行った場合は1週間後に抜糸でご来院いただきます。
翌日にはスタッフよりお電話で経過確認を行い、
痛みや腫れなどが気になる場合は順次対応しています。
また24時間対応のLINE相談もご利用いただけます。
安心してお過ごしください。 - 2025.8.27
-
2025年9月9日(火)、オヤアゴクリニック銀座がオープンいたします
オープン企画として『グランドオープンキャンペーン』を実施いたします。
ご予約開始は、お電話が8月29日の午後から、ウェブ予約は8月28日からになります。親知らず即日抜歯キャンペーン
親知らずの即日抜歯対応 忙しい方にも安心
注意事項はこちら
電話予約 ・ Web予約早期回復型インプラント治療サポートキャンペーン
当院では、スポーツ選手や仕事の早期復帰を目指す方のために、
咬合と審美性を最短で回復するインプラント治療を提供しています。
グランドオープン特典として、術前診断料(CT撮影を含む)を無料といたします。
しっかり噛めること、自然に笑えることは、日常生活・ビジネス・競技のあらゆる場面で大きな力となります。
電話予約 ・ Web予約
アスリート歯科についてはこちらからご確認ください - 2025.7.30
-
いよいよ9月9日に「親知らず・顎関節症クリニック銀座(通称:オヤアゴ銀座)」がオープン
「親知らずが気になるけれど、どこに行けばいいのかわからない」
「顎の違和感を誰にも相談できていない」
「競技に集中するために、身体の土台を整えたい」
そんなあなたの“悩みの入口”に、私たちは正面から向き合います。
銀座から、歯科医療の新しい形を。
“専門”で、“速やかに”、そして“誠実に”対応致します。

SERVICE診療内容
丁寧なカウンセリングと精密な診断を通して、根本から症状をひも解き、ひとりひとりに合わせた治療をご提案します。

BEGINNER
はじめての患者様へ
銀座から
歯科医療の
新しい形を
-
Beginner
初めての方へ
-
Flow
診療の流れ
-
About
口腔外科専門医について
当院の特徴
FEATURE
-
特徴1口腔外科のプロフェッショナルが在籍 -
特徴2患者様と共に歩む「先を見据えた治療」
-
特徴3「患者様が主役」の治療スタイル -
特徴4高精度診断を可能にする「歯科用CT」 -
特徴5痛みに配慮したやさしい治療






