親知らずの抜歯が難しい理由|歯根が長いケースとは?
こんにちは。東京都中央区銀座5丁目にある
【親知らず・顎関節症クリニック銀座(通称:オヤアゴクリニック)】です。
当院は以下の3つに特化した歯科クリニックです。
* 親知らずの抜歯
* 顎関節症の治療
* アスリートのための歯科治療
本日は、近隣の歯科医院からのご紹介で来院された患者さまのケースをご紹介します。
「親知らずに痛みはないが、物が詰まりやすい」
「歯周病予防の観点から、抜歯を勧められた」
という理由で来院されました。
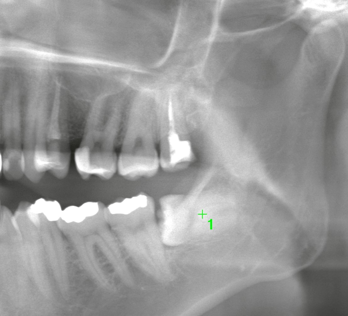
レントゲンで確認すると、下顎の親知らずは水平半埋伏。
この所見自体は、決して珍しいものではありません。
しかし今回のケースで、抜歯の難易度を大きく左右したのは
歯根が非常に長かったことでした。
親知らずの抜歯難易度は何で決まるのか
親知らずの抜歯は、
「埋まっているかどうか」だけで難易度が決まるわけではありません。
実際には、
* 歯根の長さ・太さ
* 歯根の形態(湾曲・癒着・癒合)
* 歯槽骨の厚み・硬さ
* 下歯槽神経との距離
といった複数の要素が組み合わさって、難易度が決まります。
日本人と欧米人の歯根形態の違い(エビデンスベース)
一般的な傾向として、
* 日本人を含む東アジア人
* 歯根は比較的「短く・細い」
* その一方で、湾曲根・癒着根・樋状根など形態が複雑
* 下歯槽神経との距離が近くなりやすい
* 欧米人
* 顎骨が大きく、歯根は太く・長い
* 形態は比較的シンプルだが、物理的に抜歯時の抵抗が大きい
という違いが知られています。
つまり、
日本人の親知らずが難しい理由は「歯根が長いから」ではなく、
形態の複雑さや神経との近さにあるのが一般的です。
今回のケースが難しかった理由
今回の患者さまは日本人でありながら、
例外的に歯根が非常に長いタイプでした。
この「歯根が長い」という要素が加わることで、
抜歯の難易度は一段階上がります。


① 麻酔が効きにくい
水平埋伏の親知らずでは、歯冠分割を行って抜歯します。
しかし歯根が長く、骨に深く埋まっていると、
* 麻酔が十分に奏功しにくい
* 分割時の刺激が伝わりやすい
といった問題が生じます。
② 抜去が物理的に困難
歯根が長いということは、
歯根を覆う歯槽骨の範囲が広いということです。
通常のヘーベル操作では歯が動かず、
* 骨の削除量の調整
* 歯根分割の工夫
が必要になります。
③ 下歯槽神経との距離が近づく
歯根が長くなるほど、
下歯槽神経に近接するリスクも高まります。
そのため、
* 術前CTによる立体的評価
* 抜歯手技の選択
* 力のコントロール
が不可欠になります。
専門クリニックへの紹介という判断
紹介元の歯科医院の先生も、
「歯根が長く、一般的なケースより難易度が高い」
「専門的な対応が必要」
と判断され、当院へのご紹介になったのだと思われます。
この無理をしない判断は、
患者さまにとって非常に重要です。
実際の抜歯経過
上下ともに抜歯を行いました。
特に下顎の親知らずは、
* 麻酔の確認
* 慎重な歯根分割
* 神経への十分な配慮
を要し、
通常15分程度で終わる抜歯が、約30分かかるケースとなりました。
結果として、
* 歯根はきれいに抜去
* 神経症状なし
歯根が長い・抜きにくいのは患者さんの問題ではありません
* 歯根が長い
* 抜歯が難しい
これは患者さんの問題ではありません。
あくまで、
* 解剖学的な個人差
* 術者側の技術と経験の問題
です。
適切な診断と経験に基づいた対応があれば、
歯根が長い親知らずでも安全に抜歯は可能です。
親知らずの抜歯で不安がある方へ
* 「難しいと言われた」
* 「大学病院を勧められた」
* 「神経が近いと言われた」
そのような場合こそ、
親知らず抜歯を専門に扱うクリニックの役割があります。
オヤアゴクリニックでは、
一般的なケースだけでなく、
今回のような難易度の高い親知らず抜歯にも日常的に対応しています。
不安があれば、安心してご相談ください。
オヤアゴ院長ブログ
→https://ameblo.jp/kojima-dental
ご相談・ご予約は公式HPからどうぞ
親知らず・顎関節症クリニック銀座 公式サイト
→https://ginza-oralsurgery.com/
無料LINE相談も実施中(予約対応もできます)
→https://lin.ee/Bz8QkWi
監修歯科医師
医療法人社団GRIT 理事長
親知らず・顎関節症クリニック銀座 院長
小嶋 隆三Ryuzo KOJIMA
- 〔院長略歴〕
- 鶴見大学歯学部卒 総合歯科
医療法人 麗歯会 加藤歯科医院 勤務
医療法人 UG会 多田歯科医院 勤務
医療法人 清明会 静岡リハビリテーション病院 非常勤 勤務
2013年 小嶋デンタルクリニック開設
2023年 医療法人社団GRIT 設立
2023年 コロンビア大学歯学部歯周病学分野所長兼准教授(1987-2015)、台北医科大学教授、学部長(2017-2023)ピーター・ワン先生の講座へ入局
2024年には、グローバルインプラントブランド「DIOインプラント」において、日本一の年間実績(症例数)を達成。
難症例や骨造成を伴うケースにも精通し、確かな診断力と精緻な技術で遠方からの患者も多く、信頼を集めている。
- 〔所属学会・所属団体〕
- 歯科医師臨床研修指導医
公益社団法人日本歯科先端技術研究所 インプラント認証医
BPS(精密義歯)クリニカル国際認定医
公益社団法人日本口腔インプラント学会
ISOI(国際口腔インプラント学会) インプラント認定医
日本顎咬合学会
日本スポーツ歯科学会
日本抗加齢医学会
日本歯科医師会

