
Blogブログ
矯正中のアンギュレーション改善のための親知らず抜歯
2025年11月27日
こんにちは。東京都中央区銀座5丁目にある
【親知らず・顎関節症クリニック銀座(通称:オヤアゴクリニック)】です。
当院は以下の3つに特化した歯科クリニックです。
* 親知らずの抜歯
* 顎関節症の治療
* アスリートのための歯科治療
― 銀座しらゆり歯科さまよりご紹介 ―
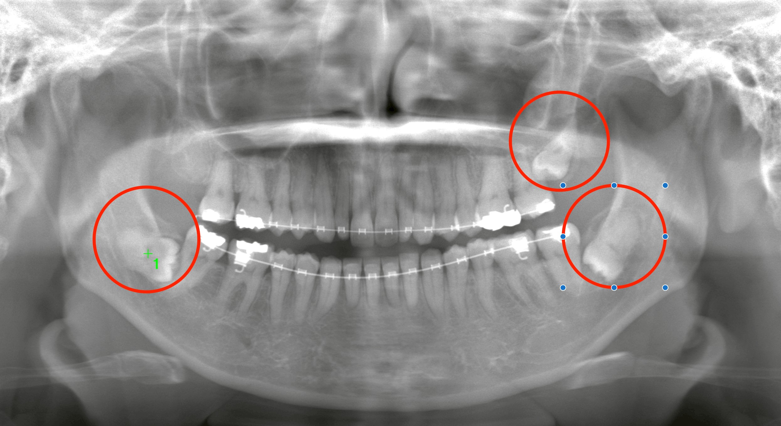
本日は、矯正治療中のアンギュレーション(歯軸改善)を妨げていた右下の埋伏親知らずの抜歯を行いました。
いつも大切な患者さまをご紹介いただき、心より感謝申し上げます。
■ アンギュレーションとは?
「アンギュレーション」とは、矯正治療において歯軸(歯の傾き)を整えるための調整のこと。
歯を正しい方向へ動かすためには、後方のスペースが必要になりますが、埋伏した親知らずが“ストッパー”のように動きを妨げることがあります。
今回の患者さまも、
* 約1年前に矯正治療をスタート
* ほぼ理想的な位置まで改善
* あと一歩のところで親知らずが壁になっていると判明
という背景があり、抜歯のご希望で来院されました。


■ 右下の埋伏親知らずを抜歯
処置前はとても緊張されていましたが、丁寧に説明を行い、同意の上で抜歯を開始。
CTで確認すると、親知らずの一部が骨と癒着している状態。
長期間骨内に埋まっていた親知らずは、炎症がなくても骨とくっつくように“癒着”を起こすことがあります。
● 癒着した親知らずの特徴
* 動かない
* 分割しても割れにくい
* 周囲の骨を慎重に取り除く必要がある
* 抜歯難易度が最も高いタイプの一つ
今回も侵襲性はやや高い処置となりましたが、
ルーペで視野を確保し、周囲組織を傷つけないようミリ単位で慎重に操作し、無事に抜歯完了しました。
術後の経過も安定しており、ひとまず安心できる状態です。
■ 親知らずが矯正治療に影響する理由
* 歯の動きを後方から止めてしまう
* 歯列全体のアンギュレーション改善ができない
* 奥歯の咬合に影響する
* 将来的に炎症や疼痛のリスクが上がる
矯正の仕上げ段階で「動きが悪い」と感じるとき、埋伏親知らずが原因であるケースは少なくありません。
■ まとめ
今回は、矯正治療の仕上げを妨げていた埋伏親知らずの抜歯を行いました。
癒着がある難易度の高いケースでしたが、的確な診断と精密な処置で安全に完了しました。
親知らずが矯正治療にどのように影響するのか、また抜歯の難易度についても参考になれば幸いです。
オヤアゴ院長ブログ
→https://ameblo.jp/kojima-dental
ご相談・ご予約は公式HPからどうぞ
親知らず・顎関節症クリニック銀座 公式サイト
→https://ginza-oralsurgery.com/
無料LINE相談も実施中(予約対応もできます)
→https://lin.ee/Bz8QkWi
監修歯科医師
-
医療法人社団GRIT 理事長
〔院長略歴〕
親知らず・顎関節症クリニック銀座 院長
小嶋 隆三Ryuzo KOJIMA
鶴見大学歯学部卒 総合歯科
医療法人 麗歯会 加藤歯科医院 勤務
医療法人 UG会 多田歯科医院 勤務
医療法人 清明会 静岡リハビリテーション病院 非常勤 勤務
2013年 小嶋デンタルクリニック開設
2023年 医療法人社団GRIT 設立
2023年 コロンビア大学歯学部歯周病学分野所長兼准教授(1987-2015)、台北医科大学教授、学部長(2017-2023)ピーター・ワン先生の講座へ入局
2024年には、グローバルインプラントブランド「DIOインプラント」において、日本一の年間実績(症例数)を達成。
難症例や骨造成を伴うケースにも精通し、確かな診断力と精緻な技術で遠方からの患者も多く、信頼を集めている。
〔所属学会・所属団体〕
歯科医師臨床研修指導医
公益社団法人日本歯科先端技術研究所 インプラント認証医
BPS(精密義歯)クリニカル国際認定医
公益社団法人日本口腔インプラント学会
ISOI(国際口腔インプラント学会) インプラント認定医
日本顎咬合学会
日本スポーツ歯科学会
日本抗加齢医学会
日本歯科医師会 
