
Blogブログ
左下の激しい痛みで来院したケース 〜虫歯が原因で起こる親知らずの強い疼痛〜
2025年11月8日
こんにちは。東京都中央区銀座5丁目にある
【親知らず・顎関節症クリニック銀座(通称:オヤアゴクリニック)】です。
当院は以下の3つに特化した歯科クリニックです。
* 親知らずの抜歯
* 顎関節症の治療
* アスリートのための歯科治療
■ 激しい痛みで来院された患者様
本日、左下の親知らずの強い痛みを訴えて来院された患者様。
夜も眠れず、食事も摂れないほどの状態でした。
以前から「なんとなくシクシク痛むことはあった」が、自然に治っていたため放置していたとのこと。
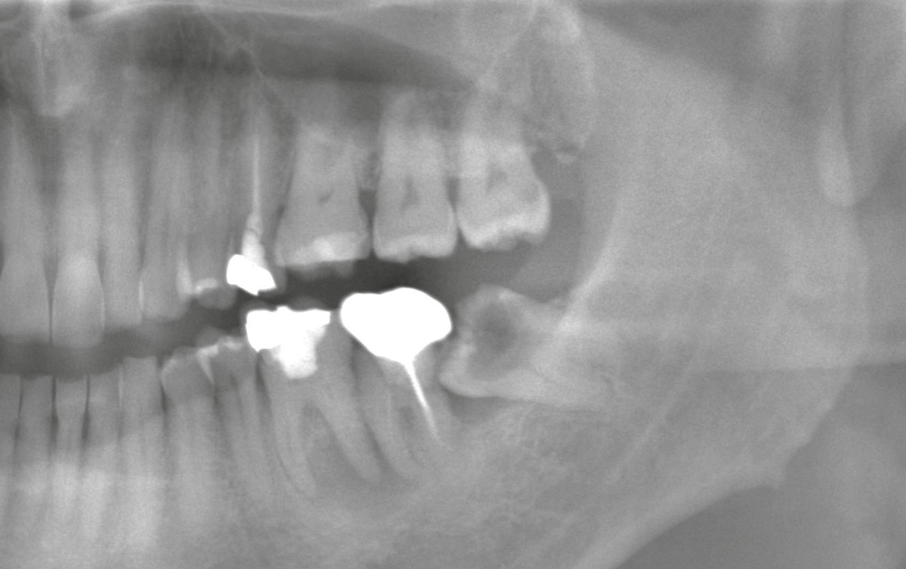
■ レントゲンで確認された所見
レントゲン撮影の結果、
左下の親知らずは深い虫歯が神経にまで達しており、感染が深部に及んでいました。
このようなケースでは、痛みが非常に強く出やすく、また鎮痛薬も効きにくくなる傾向があります。

■ 治療方針と抜歯の判断
虫歯が歯根まで進行し、かつやや水平に傾いて生えているため、
補綴(被せ物)での保存は困難と判断。
また、対合する上の親知らずも機能しておらず、同様に虫歯に罹患していたため、
上下同時に抜歯を実施しました。
■ 今後の対応
抜歯後は、左下手前の歯にも虫歯が確認されたため、
今後はかかりつけ歯科医院にて継続治療をお願いしています。
■ 親知らずの虫歯は進行が早い
親知らずは位置的にブラッシングが届きにくく、
一度虫歯になると気づかないうちに深部まで進行してしまうことが多い歯です。
「少し痛むけど自然に治った」と思っても、
内部では確実に進行していることがあります。
痛みが出てからでは対応が大掛かりになるため、
早めのチェックと予防的な抜歯をおすすめします。
オヤアゴ院長ブログ
→https://ameblo.jp/kojima-dental
ご相談・ご予約は公式HPからどうぞ
親知らず・顎関節症クリニック銀座 公式サイト
→https://ginza-oralsurgery.com/
無料LINE相談も実施中(予約対応もできます)
→https://lin.ee/Bz8QkWi
監修歯科医師
-
医療法人社団GRIT 理事長
〔院長略歴〕
親知らず・顎関節症クリニック銀座 院長
小嶋 隆三Ryuzo KOJIMA
鶴見大学歯学部卒 総合歯科
医療法人 麗歯会 加藤歯科医院 勤務
医療法人 UG会 多田歯科医院 勤務
医療法人 清明会 静岡リハビリテーション病院 非常勤 勤務
2013年 小嶋デンタルクリニック開設
2023年 医療法人社団GRIT 設立
2023年 コロンビア大学歯学部歯周病学分野所長兼准教授(1987-2015)、台北医科大学教授、学部長(2017-2023)ピーター・ワン先生の講座へ入局
2024年には、グローバルインプラントブランド「DIOインプラント」において、日本一の年間実績(症例数)を達成。
難症例や骨造成を伴うケースにも精通し、確かな診断力と精緻な技術で遠方からの患者も多く、信頼を集めている。
〔所属学会・所属団体〕
歯科医師臨床研修指導医
公益社団法人日本歯科先端技術研究所 インプラント認証医
BPS(精密義歯)クリニカル国際認定医
公益社団法人日本口腔インプラント学会
ISOI(国際口腔インプラント学会) インプラント認定医
日本顎咬合学会
日本スポーツ歯科学会
日本抗加齢医学会
日本歯科医師会 
