
Blogブログ
矯正治療前の親知らず抜歯|歯根未完成期の抜歯について
2025年11月7日
こんにちは。東京都中央区銀座5丁目にある
【親知らず・顎関節症クリニック銀座(通称:オヤアゴクリニック)】です。
当院は以下の3つに特化した歯科クリニックです。
* 親知らずの抜歯
* 顎関節症の治療
* アスリートのための歯科治療
■ 矯正歯科からの紹介で来院された患者様
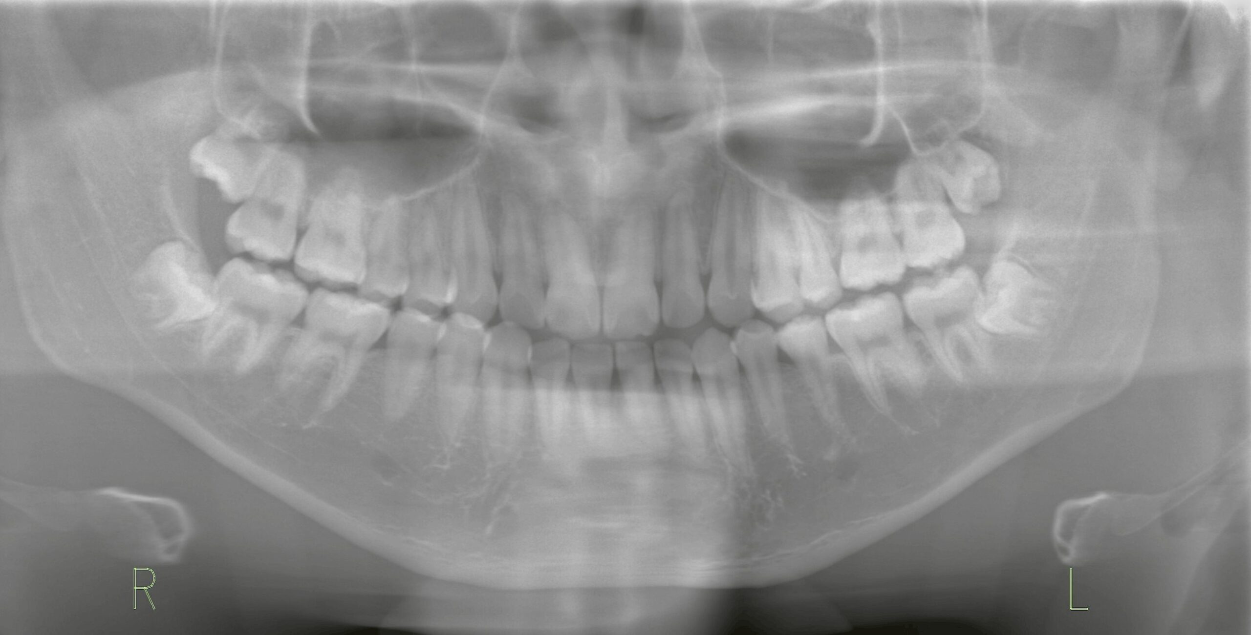
矯正治療を予定している17歳の患者様。
矯正歯科の先生から「上下の親知らずの抜歯」をご依頼いただきました。
上の親知らずはときどき腫れを繰り返しており、患者様自身も気になっていたとのこと。
一方、下の親知らずはレントゲンで確認すると完全に埋伏しており、歯根がまだ未完成の状態でした。

■ 歯根未完成期の抜歯とは?
親知らずの歯根が完成するのは一般的に20歳以降といわれています。
そのため、17歳前後ではまだ根の形成が途中のことが多く、根が短く先端が細い状態です。
このような「歯根未完成期の抜歯」は、
* 骨との癒着が少なく比較的抜歯が容易
* しかし若年であるため腫脹などの術後反応が強く出やすい
といった特徴があります。
■ 手術内容と経過
今回は上顎の親知らずは一部切開を行い、下顎の完全埋伏歯については一部骨削除を加えて露出させ、抜歯を実施しました。
年齢的に骨がしっかりしており、抜歯時の侵襲はやや高めでしたが、手技的にはスムーズに完了。
術後の腫れは若干予想されますが、若年者は治癒が非常に早いという利点もあります。
数日で安定し、矯正治療の準備がスムーズに進められる見込みです。
■ まとめ
若年期の親知らず抜歯は、
* 矯正治療の妨げを防ぐ
* 今後の炎症・腫脹リスクを減らす
といった点で非常に意義があります。
オヤアゴクリニックでは、矯正歯科との連携を取りながら、年齢・骨の状態・歯根の形成度を考慮した最適な抜歯を行っています。
お気軽にご相談ください。
オヤアゴ院長ブログ
→https://ameblo.jp/kojima-dental
ご相談・ご予約は公式HPからどうぞ
親知らず・顎関節症クリニック銀座 公式サイト
→https://ginza-oralsurgery.com/
無料LINE相談も実施中(予約対応もできます)
→https://lin.ee/Bz8QkWi
監修歯科医師
-
医療法人社団GRIT 理事長
〔院長略歴〕
親知らず・顎関節症クリニック銀座 院長
小嶋 隆三Ryuzo KOJIMA
鶴見大学歯学部卒 総合歯科
医療法人 麗歯会 加藤歯科医院 勤務
医療法人 UG会 多田歯科医院 勤務
医療法人 清明会 静岡リハビリテーション病院 非常勤 勤務
2013年 小嶋デンタルクリニック開設
2023年 医療法人社団GRIT 設立
2023年 コロンビア大学歯学部歯周病学分野所長兼准教授(1987-2015)、台北医科大学教授、学部長(2017-2023)ピーター・ワン先生の講座へ入局
2024年には、グローバルインプラントブランド「DIOインプラント」において、日本一の年間実績(症例数)を達成。
難症例や骨造成を伴うケースにも精通し、確かな診断力と精緻な技術で遠方からの患者も多く、信頼を集めている。
〔所属学会・所属団体〕
歯科医師臨床研修指導医
公益社団法人日本歯科先端技術研究所 インプラント認証医
BPS(精密義歯)クリニカル国際認定医
公益社団法人日本口腔インプラント学会
ISOI(国際口腔インプラント学会) インプラント認定医
日本顎咬合学会
日本スポーツ歯科学会
日本抗加齢医学会
日本歯科医師会 
