
Blogブログ
【親知らずは抜くべき?】歯並びや顎関節症に与える影響と放置リスク
2025年9月30日
こんにちは。東京都中央区銀座5丁目にある【親知らず・顎関節症クリニック銀座】です。
当院は以下の3つに特化した歯科クリニックです。
・親知らずの抜歯
・顎関節症の治療
・アスリートのための歯科治療

昨日は「親知らずが原因で開口障害を招くケース」についてご紹介しました。本日はさらに一歩進めて、親知らずが歯並びや咬み合わせ、顎関節症、虫歯や歯周病にどのような影響を及ぼすのかを解説します。
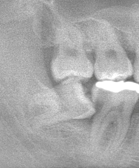
親知らずと歯並びの関係
親知らずは一番奥に位置するため、正常に生えてこないケースが多くあります。
* 半分だけ顔を出している
* 横向きに傾いて隣の歯を押している
* 垂直に挺出して咬み合わせに干渉している
こうした状態を放置すると、歯列全体に圧力がかかり、歯並びの乱れや早期接触による咬合のズレを引き起こします。その結果、顎関節に負担がかかり、顎関節症(顎の痛み・開口障害・関節音など)を悪化させる要因にもなります。
親知らずと虫歯・歯周病リスク
「親知らず 抜歯」と検索される方の多くは、実際に痛みや腫れを経験していることが多いです。親知らずは清掃が難しいため、以下のリスクが高まります。
* 隣接する第二大臼歯との間に虫歯ができる
* 奥にプラークが溜まり、歯周病を悪化させる
* 慢性的な炎症による口臭や腫れの繰り返し
特に「親知らず 虫歯」は、親知らずだけでなく隣の歯まで失う原因となるため、注意が必要です。
親知らずを抜くべきか?残すべきか?
「親知らず 抜歯が必要かどうか」という判断は、噛むために機能しているか・清掃が可能かという2つの基準で考えます。
* 機能していて、しっかり磨ける → 残しても良い
* 機能していない、または清掃困難で炎症を繰り返す → 抜歯を推奨
実際に「親知らず 抜歯 リスク」と検索される方も多いですが、放置の方がリスクは大きく、早期対応が長期的な健康につながります。
まとめ
親知らずは単に「奥にある余分な歯」ではなく、歯並び・咬合・顎関節・虫歯や歯周病に大きく影響します。昨日触れた「開口障害」だけでなく、全身の健康や生活の質に関わるリスクを考えることが大切です。
オヤアゴクリニックでは、レントゲンやCTを用いた精密診断により、親知らずを抜くべきか残すべきかを丁寧にご説明いたします。気になる症状がある方、将来のリスクが心配な方はぜひ一度ご相談ください。
オヤアゴ院長ブログ
→ https://ameblo.jp/kojima-dental
ご相談・ご予約は公式HPからどうぞ
親知らず・顎関節症クリニック銀座 公式サイト
→ https://ginza-oralsurgery.com/
無料LINE相談も実施中
監修歯科医師
-
医療法人社団GRIT 理事長
〔院長略歴〕
親知らず・顎関節症クリニック銀座 院長
小嶋 隆三Ryuzo KOJIMA
鶴見大学歯学部卒 総合歯科
医療法人 麗歯会 加藤歯科医院 勤務
医療法人 UG会 多田歯科医院 勤務
医療法人 清明会 静岡リハビリテーション病院 非常勤 勤務
2013年 小嶋デンタルクリニック開設
2023年 医療法人社団GRIT 設立
2023年 コロンビア大学歯学部歯周病学分野所長兼准教授(1987-2015)、台北医科大学教授、学部長(2017-2023)ピーター・ワン先生の講座へ入局
2024年には、グローバルインプラントブランド「DIOインプラント」において、日本一の年間実績(症例数)を達成。
難症例や骨造成を伴うケースにも精通し、確かな診断力と精緻な技術で遠方からの患者も多く、信頼を集めている。
〔所属学会・所属団体〕
歯科医師臨床研修指導医
公益社団法人日本歯科先端技術研究所 インプラント認証医
BPS(精密義歯)クリニカル国際認定医
公益社団法人日本口腔インプラント学会
ISOI(国際口腔インプラント学会) インプラント認定医
日本顎咬合学会
日本スポーツ歯科学会
日本抗加齢医学会
日本歯科医師会 
