
Blogブログ
右上の親知らずの激痛 ― 大きな虫歯による抜歯症例
2025年9月6日
こんにちは。東京都中央区銀座5丁目にある【親知らず・顎関節症クリニック銀座】です。
当院は以下の3つに特化した歯科クリニックです。
* 親知らずの抜歯
* 顎関節症の治療
* アスリートのための歯科治療
昨晩から右上の奥歯に激しい痛みが出て来院された患者様。
市販の鎮痛薬(ロキソニン)を服用しても効果がなく、夜も眠れないほどの強い痛みが続いていました。
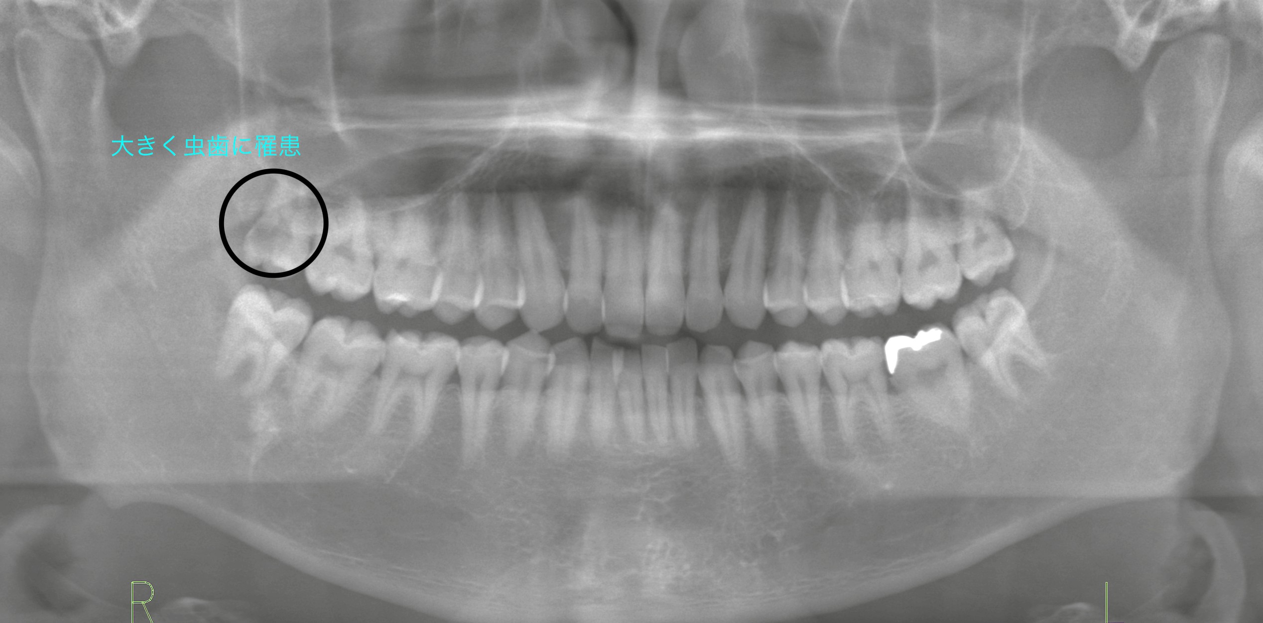
診査を行うと、原因は右上の親知らずにできた大きな虫歯でした。レントゲン撮影にて確認すると、虫歯はすでに神経(歯髄)まで到達している状態でした。また、対合する親知らずとの間にはわずかながら咬合関係も認められました。

抜歯か温存か ― 判断基準
親知らずに虫歯ができた場合、「抜歯すべきか」「残して治療すべきか」が焦点となります。今回の症例では、以下の理由から抜歯が妥当と判断しました。
1. 治療の困難さ
親知らずは口の奥に位置し、治療時にラバーダム防湿が困難です。歯根の形態も複雑で、神経の治療をしても予後が不良となるケースが少なくありません。
2. 再発リスクの高さ
ここまで虫歯が進行してしまった背景には、清掃不良が関与しています。ブラシが届きにくい位置のため、治療後も再び虫歯になる可能性が高いと考えられます。
3. 口腔全体への影響
大きな虫歯が存在することで、細菌が増殖し、他の歯に虫歯や歯周病のリスクを及ぼす可能性があります。
今回の治療方針
以上の判断から、今回の右上の親知らずは抜歯を選択しました。
もし虫歯が小さい範囲であれば、清掃可能とみなし保存を検討する場合もあります。しかし、今回のように神経に到達するほどの大きな虫歯であれば、抜歯が口腔全体の健康を守るために最も妥当な治療法といえます。
親知らずの管理の大切さ
親知らずは必ず抜かなければいけない歯ではありません。正しく生えていて清掃できている場合には、問題なく長期的に残すことが可能です。
しかし、
* 虫歯が大きく進行している
* 清掃が困難で再発リスクが高い
* 咬合関係が乏しい
といった条件が揃う場合には、抜歯が望ましい選択となることが多いです。
まとめ
今回の症例では、右上の親知らずが神経まで達する大きな虫歯を起こし、強い痛みの原因となっていました。治療の困難さと再発リスクを考慮し、抜歯によって口腔全体の健康を守るという結論に至りました。
「まだ痛くないから」と放置してしまうと、ある日突然今回のような激痛に見舞われることがあります。親知らずに違和感や痛みを感じたら、ぜひ早めにご相談ください。
オヤアゴ院長ブログ
→ https://ameblo.jp/kojima-dental
ご相談・ご予約は公式HPからどうぞ
親知らず・顎関節症クリニック銀座 公式サイト
→ https://ginza-oralsurgery.com/
無料LINE相談も実施中
→ https://lin.ee/Bz8QkWi
監修歯科医師
-
医療法人社団GRIT 理事長
〔院長略歴〕
親知らず・顎関節症クリニック銀座 院長
小嶋 隆三Ryuzo KOJIMA
鶴見大学歯学部卒 総合歯科
医療法人 麗歯会 加藤歯科医院 勤務
医療法人 UG会 多田歯科医院 勤務
医療法人 清明会 静岡リハビリテーション病院 非常勤 勤務
2013年 小嶋デンタルクリニック開設
2023年 医療法人社団GRIT 設立
2023年 コロンビア大学歯学部歯周病学分野所長兼准教授(1987-2015)、台北医科大学教授、学部長(2017-2023)ピーター・ワン先生の講座へ入局
2024年には、グローバルインプラントブランド「DIOインプラント」において、日本一の年間実績(症例数)を達成。
難症例や骨造成を伴うケースにも精通し、確かな診断力と精緻な技術で遠方からの患者も多く、信頼を集めている。
〔所属学会・所属団体〕
歯科医師臨床研修指導医
公益社団法人日本歯科先端技術研究所 インプラント認証医
BPS(精密義歯)クリニカル国際認定医
公益社団法人日本口腔インプラント学会
ISOI(国際口腔インプラント学会) インプラント認定医
日本顎咬合学会
日本スポーツ歯科学会
日本抗加齢医学会
日本歯科医師会 
