下歯槽神経を戦略的に避ける抜歯
こんにちは。東京都中央区銀座5丁目にある【親知らず・顎関節症クリニック銀座】です。
当院では、親知らずの抜歯や顎関節症の治療、そしてアスリートのための歯科治療に特化しています。
今回のケース
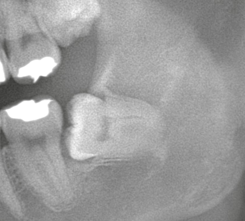
左下の親知らずの抜歯を希望された患者様です。
術前のCT検査にて、歯の根が下歯槽神経と接している所見が確認されました。下歯槽神経は、下唇や顎の感覚を司る大切な神経です。そのため、術後にしびれ(麻痺)が残るリスクがあることを事前にご説明しました。

2回法による戦略的アプローチ
通常、親知らずの抜歯は1回で完了します。
しかし今回のように神経に強く接している場合は、「2回法」と呼ばれる方法を選択することがあります。
1回目の処置では歯冠(歯の頭の部分)を分割・除去し、同時に歯周靭帯を切断。歯が少しずつ動きやすい環境をつくります。
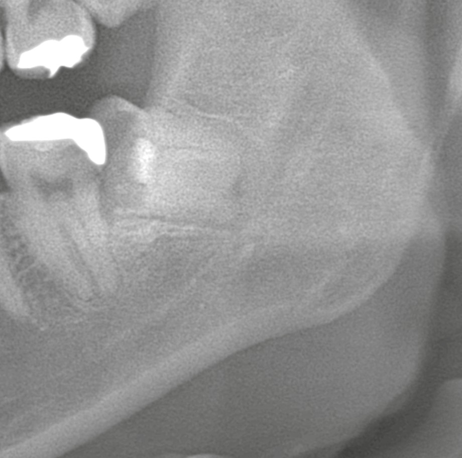
その後、約3ヶ月間経過を観察しました。

3ヶ月後のレントゲンでは、歯がわずかに移動し、下歯槽神経との距離が確保されたことを確認。そこで2回目の外科処置として、通常の埋伏抜歯を実施しました。
結果として、術後の麻痺やしびれは認められませんでした。
2回法のメリットと注意点
* ✅ 神経麻痺のリスクを大幅に低減できる
* ❌ 外科的処置が2回必要なため、身体的負担や通院の手間が増える
* ⚠️ 親知らずは清掃が難しい部位であるため、観察期間中に腫れや炎症が起こることがある
このように、リスクを回避するための戦略的な方法として、2回法を選択することがあります。
まとめ
親知らずの抜歯は一見シンプルに思われがちですが、実際には神経や骨の位置関係をしっかり評価し、最適な方法を選択することが重要です。
今回のケースのように、患者様の安全を第一に考えた処置を行うことで、安心して治療を受けていただけます。
オヤアゴ院長ブログ
→ https://ameblo.jp/kojima-dental
ご相談・ご予約は公式HPからどうぞ
親知らず・顎関節症クリニック銀座 公式サイト
→ https://ginza-oralsurgery.com/
無料LINE相談も実施中
→ https://lin.ee/Bz8QkWi
監修歯科医師
医療法人社団GRIT 理事長
親知らず・顎関節症クリニック銀座 院長
小嶋 隆三Ryuzo KOJIMA
- 〔院長略歴〕
- 鶴見大学歯学部卒 総合歯科
医療法人 麗歯会 加藤歯科医院 勤務
医療法人 UG会 多田歯科医院 勤務
医療法人 清明会 静岡リハビリテーション病院 非常勤 勤務
2013年 小嶋デンタルクリニック開設
2023年 医療法人社団GRIT 設立
2023年 コロンビア大学歯学部歯周病学分野所長兼准教授(1987-2015)、台北医科大学教授、学部長(2017-2023)ピーター・ワン先生の講座へ入局
2024年には、グローバルインプラントブランド「DIOインプラント」において、日本一の年間実績(症例数)を達成。
難症例や骨造成を伴うケースにも精通し、確かな診断力と精緻な技術で遠方からの患者も多く、信頼を集めている。
- 〔所属学会・所属団体〕
- 歯科医師臨床研修指導医
公益社団法人日本歯科先端技術研究所 インプラント認証医
BPS(精密義歯)クリニカル国際認定医
公益社団法人日本口腔インプラント学会
ISOI(国際口腔インプラント学会) インプラント認定医
日本顎咬合学会
日本スポーツ歯科学会
日本抗加齢医学会
日本歯科医師会

