
Blogブログ
右下親知らずの抜歯:CTで確認するリスクと安全な処置
2025年8月23日
こんにちは。東京都中央区銀座5丁目にある【親知らず・顎関節症クリニック銀座】です。
当院は、
* 親知らずの抜歯
* 顎関節症の治療
* アスリートのための歯科治療
に特化した歯科クリニックです。
症例紹介
本日は 30代女性 の患者様です。
右下の親知らずが水平に埋まっており、定期的に腫れを繰り返すとのことで抜歯を希望されました。
過去に他院を受診した際には、
「下歯槽神経に近接しているため、抜歯は難しい」
と説明を受けたそうです。

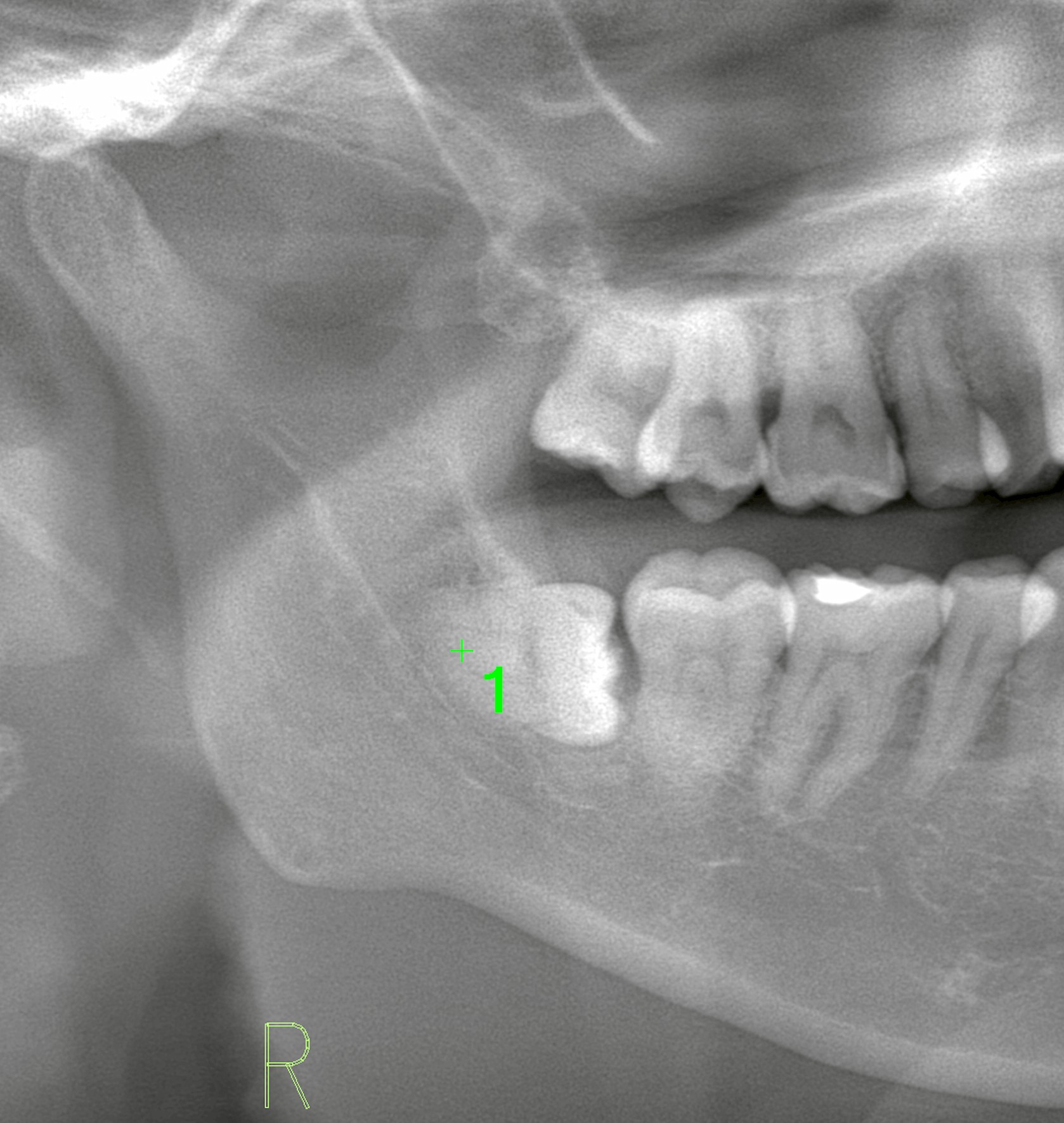
CTでの確認
当院にてCT撮影を行ったところ、確かに下歯槽神経に近接していましたが、直接の接触は認められませんでした。
このように、パノラマX線だけでは判断が難しいケースでも、CTによって三次元的に確認することでリスクを正確に分析できます。


抜歯の経過
根は単根で比較的シンプルな形態であったため、処置は約15分で終了。
術後は翌日に確認を行い、
* 知覚麻痺なし
* 痛みも最小限
と良好な経過でした。
まとめ
下歯槽神経に近接している親知らずであっても、CTを活用することでリスクを見極め、適切な計画のもと安全に抜歯することが可能です。
親知らずの腫れや痛みでお悩みの方は、ぜひご相談ください。
オヤアゴ院長ブログ
→ https://ameblo.jp/kojima-dental
ご相談・ご予約は公式HPからどうぞ
親知らず・顎関節症クリニック銀座 公式サイト
→ https://ginza-oralsurgery.com/
無料LINE相談も実施中
→ https://lin.ee/Bz8QkWi
監修歯科医師
-
医療法人社団GRIT 理事長
〔院長略歴〕
親知らず・顎関節症クリニック銀座 院長
小嶋 隆三Ryuzo KOJIMA
鶴見大学歯学部卒 総合歯科
医療法人 麗歯会 加藤歯科医院 勤務
医療法人 UG会 多田歯科医院 勤務
医療法人 清明会 静岡リハビリテーション病院 非常勤 勤務
2013年 小嶋デンタルクリニック開設
2023年 医療法人社団GRIT 設立
2023年 コロンビア大学歯学部歯周病学分野所長兼准教授(1987-2015)、台北医科大学教授、学部長(2017-2023)ピーター・ワン先生の講座へ入局
2024年には、グローバルインプラントブランド「DIOインプラント」において、日本一の年間実績(症例数)を達成。
難症例や骨造成を伴うケースにも精通し、確かな診断力と精緻な技術で遠方からの患者も多く、信頼を集めている。
〔所属学会・所属団体〕
歯科医師臨床研修指導医
公益社団法人日本歯科先端技術研究所 インプラント認証医
BPS(精密義歯)クリニカル国際認定医
公益社団法人日本口腔インプラント学会
ISOI(国際口腔インプラント学会) インプラント認定医
日本顎咬合学会
日本スポーツ歯科学会
日本抗加齢医学会
日本歯科医師会 
