難しい親知らずも対応可能です ― 下顎左右の抜歯症例
こんにちは。東京都中央区銀座5丁目にある【親知らず・顎関節症クリニック銀座】です。
当院は以下の3つに特化した歯科クリニックです。
* 親知らずの抜歯
* 顎関節症の治療
* アスリートのための歯科治療
今回の症例
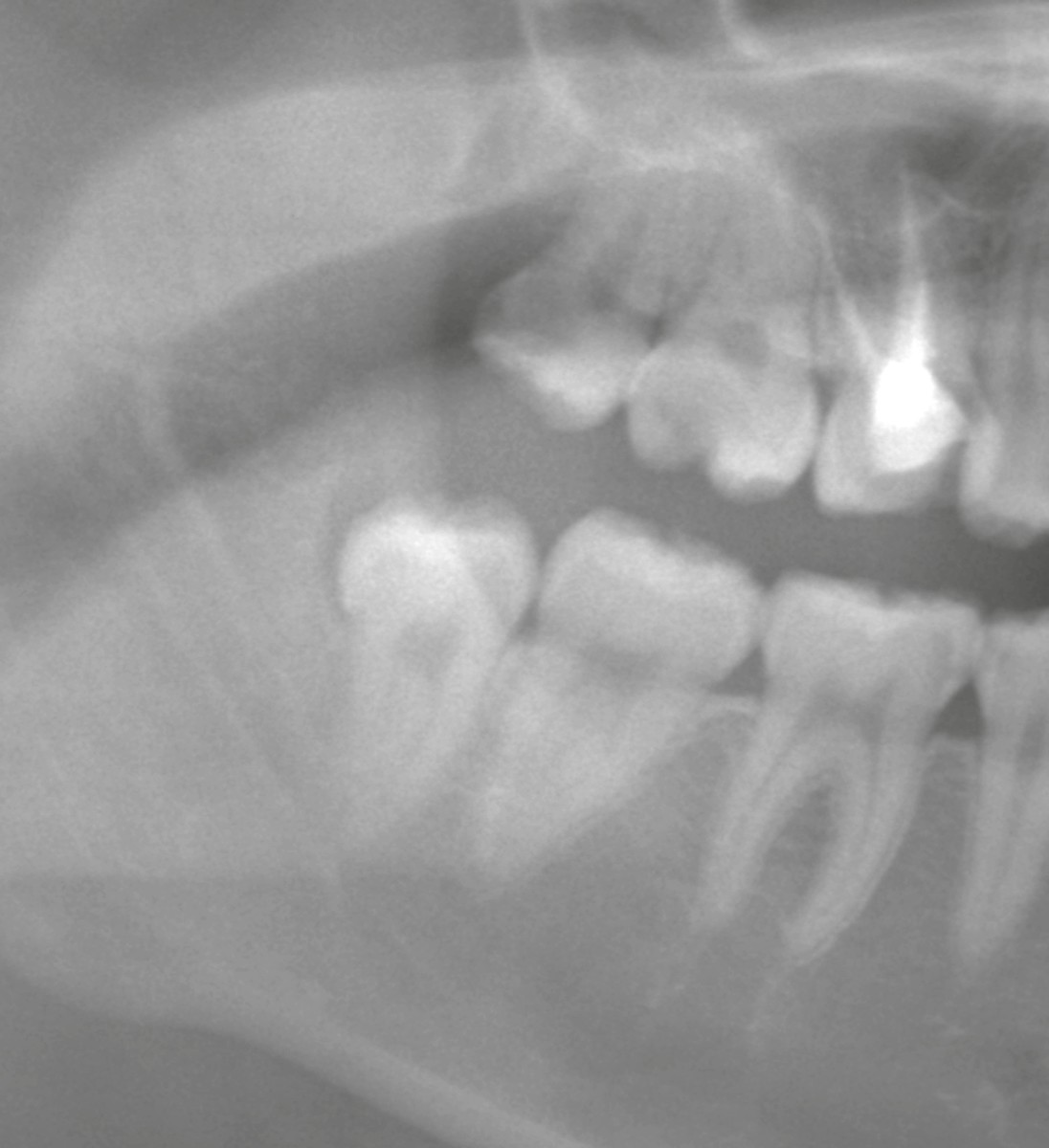
20代の女性が、他院からの紹介で「下顎の親知らず抜歯」を目的に当院を受診されました。
* 右下親知らず:垂直に生えているものの、歯の後ろ側(遠心歯冠部)が骨に覆われている状態
* 左下親知らず:水平に完全埋伏し、下歯槽神経に近接
どちらも抜歯が必要なケースでした。特に左下は難易度が高く、紹介で来院される方が多い典型的な症例です。


治療内容
右下の親知らず
* 覆っている歯肉を切開
* 遠心の歯冠を覆う歯槽骨を一部削合
* スムーズに抜歯
左下の親知らず
* 歯肉切開しオープンに
* 引っかかっていた歯冠を分割
* 一塊で撤去
* 事前のCTで下歯槽神経との位置関係を確認。近接はあるが触れておらず、神経障害のリスクは回避
術後経過
* 右下:腫れや痛みも軽度で経過良好
* 左下:抜歯後に2日ほど腫脹があったものの、3日目以降は問題なく回復
* 1週間後には通常の生活に支障のない状態へ
患者様も
「他の医院では難しいと言われて不安でしたが、思ったよりも早く治って安心しました」
とお話しされていました。
当院の特徴
今回のように水平埋伏歯が神経に近接しているケースや、骨に覆われている親知らずは、一般歯科では対応が難しいことがあります。
当院ではCT撮影や鎮静麻酔も組み合わせ、外科的に難しい親知らず抜歯も数多く行っています。
まとめ
* 下顎左右の親知らずを同時に抜歯
* 神経近接例でもCTで安全性を確認してから手術
* 術後経過は良好、腫脹も短期間で改善
親知らずで「抜歯が難しいと言われた」「他院で断られた」といった方も、ぜひ一度ご相談ください。安全で確実な抜歯のために、当院がサポートいたします。
オヤアゴ院長ブログ
→ https://ameblo.jp/kojima-dental
ご相談・ご予約は公式HPからどうぞ
親知らず・顎関節症クリニック銀座 公式サイト
→ https://ginza-oralsurgery.com/
無料LINE相談も実施中
→ https://lin.ee/Bz8QkWi
監修歯科医師
医療法人社団GRIT 理事長
親知らず・顎関節症クリニック銀座 院長
小嶋 隆三Ryuzo KOJIMA
- 〔院長略歴〕
- 鶴見大学歯学部卒 総合歯科
医療法人 麗歯会 加藤歯科医院 勤務
医療法人 UG会 多田歯科医院 勤務
医療法人 清明会 静岡リハビリテーション病院 非常勤 勤務
2013年 小嶋デンタルクリニック開設
2023年 医療法人社団GRIT 設立
2023年 コロンビア大学歯学部歯周病学分野所長兼准教授(1987-2015)、台北医科大学教授、学部長(2017-2023)ピーター・ワン先生の講座へ入局
2024年には、グローバルインプラントブランド「DIOインプラント」において、日本一の年間実績(症例数)を達成。
難症例や骨造成を伴うケースにも精通し、確かな診断力と精緻な技術で遠方からの患者も多く、信頼を集めている。
- 〔所属学会・所属団体〕
- 歯科医師臨床研修指導医
公益社団法人日本歯科先端技術研究所 インプラント認証医
BPS(精密義歯)クリニカル国際認定医
公益社団法人日本口腔インプラント学会
ISOI(国際口腔インプラント学会) インプラント認定医
日本顎咬合学会
日本スポーツ歯科学会
日本抗加齢医学会
日本歯科医師会

